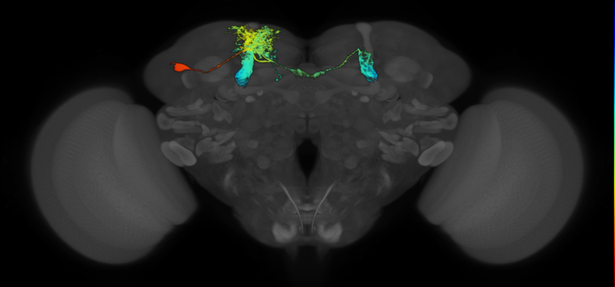
mushroom body vertical lobe arborizing neuron 1 [FBbt_00100236]

A dopaminergic neuron of the PPL1 cluster that has its cell body in the superior neuropils lateral to the calyx (Tanaka et al., 2008; Aso et al., 2014). The cell body fiber projects anterior-medially and forms dendritic branches in the superior neuropils posterior to the vertical lobes (Tanaka et al., 2008; Aso et al., 2014). One of these branches projects to the opposite hemisphere and others project to the vertical lobe and form extensive arborizations in the middle segment of both the alpha and alpha’ lobes (slice 2) (Tanaka et al., 2008; Aso et al., 2014). The contralateral branch innervates the same mushroom body regions (Li et al., 2020), There is one neuron of this type in each hemisphere (Aso et al., 2014; Li et al., 2020) and it develops from the CP3 (DL2) neuroblast during larval development (Ren et al., 2016). Names are assigned according to the area of the mushroom body they arborize, as detailed in Tanaka et al., (2008). Tanaka et al., (2008) compare four enhancer traps to identify the MB-V1 neurons (MZ840, NP7187, NP7198 and NP7135). The PPL1 cluster was identified by TH immunostaining and using a TH-GAL4 driver (FBtp0020119) (Liu et al., 2012).

Open mushroom body vertical lobe arborizing neuron 1 in VFB

Example Images

mushroom body vertical lobe arborizing neuron 1 mushroom body vertical lobe arborizing neuron 1 mushroom body vertical lobe arborizing neuron 1 mushroom body vertical lobe arborizing neuron 1

VFB Term Json

{
    "term": {
        "core": {
            "iri": "http://purl.obolibrary.org/obo/FBbt_00100236",
            "symbol": "PPL105",
            "types": [
                "Entity",
                "Adult",
                "Anatomy",
                "Cell",
                "Class",
                "Dopaminergic",
                "Nervous_system",
                "Neuron"
            ],
            "short_form": "FBbt_00100236",
            "label": "mushroom body vertical lobe arborizing neuron 1"
        },
        "description": [
            "A dopaminergic neuron of the PPL1 cluster that has its cell body in the superior neuropils lateral to the calyx (Tanaka et al., 2008; Aso et al., 2014). The cell body fiber projects anterior-medially and forms dendritic branches in the superior neuropils posterior to the vertical lobes (Tanaka et al., 2008; Aso et al., 2014). One of these branches projects to the opposite hemisphere and others project to the vertical lobe and form extensive arborizations in the middle segment of both the alpha and alpha' lobes (slice 2) (Tanaka et al., 2008; Aso et al., 2014). The contralateral branch innervates the same mushroom body regions (Li et al., 2020), There is one neuron of this type in each hemisphere (Aso et al., 2014; Li et al., 2020) and it develops from the CP3 (DL2) neuroblast during larval development (Ren et al., 2016)."
        ],
        "comment": [
            "Names are assigned according to the area of the mushroom body they arborize, as detailed in Tanaka et al., (2008). Tanaka et al., (2008) compare four enhancer traps to identify the MB-V1 neurons (MZ840, NP7187, NP7198 and NP7135). The PPL1 cluster was identified by TH immunostaining and using a TH-GAL4 driver (FBtp0020119) (Liu et al., 2012)."
        ]
    },
    "query": "Get JSON for Class",
    "version": "44725ae",
    "parents": [
        {
            "symbol": "",
            "iri": "http://purl.obolibrary.org/obo/FBbt_00050085",
            "types": [
                "Entity",
                "Adult",
                "Anatomy",
                "Cell",
                "Class",
                "Nervous_system",
                "Neuron"
            ],
            "short_form": "FBbt_00050085",
            "label": "adult CP3 lineage neuron"
        },
        {
            "symbol": "",
            "iri": "http://purl.obolibrary.org/obo/FBbt_00047096",
            "types": [
                "Entity",
                "Anatomy",
                "Cell",
                "Class",
                "Nervous_system",
                "Neuron"
            ],
            "short_form": "FBbt_00047096",
            "label": "secondary neuron"
        },
        {
            "symbol": "",
            "iri": "http://purl.obolibrary.org/obo/FBbt_00049840",
            "types": [
                "Entity",
                "Adult",
                "Anatomy",
                "Cell",
                "Class",
                "Dopaminergic",
                "Nervous_system",
                "Neuron"
            ],
            "short_form": "FBbt_00049840",
            "label": "mushroom body PPL1 neuron"
        }
    ],
    "relationships": [
        {
            "relation": {
                "iri": "http://purl.obolibrary.org/obo/RO_0000053",
                "label": "bearer of",
                "type": "bearer_of"
            },
            "object": {
                "symbol": "",
                "iri": "http://purl.obolibrary.org/obo/PATO_0000618",
                "types": [
                    "Entity",
                    "Class"
                ],
                "short_form": "PATO_0000618",
                "label": "bilateral"
            }
        },
        {
            "relation": {
                "iri": "http://purl.obolibrary.org/obo/RO_0013002",
                "label": "receives synaptic input in region",
                "type": "receives_synaptic_input_in_region"
            },
            "object": {
                "symbol": "",
                "iri": "http://purl.obolibrary.org/obo/FBbt_00007055",
                "types": [
                    "Entity",
                    "Adult",
                    "Anatomy",
                    "Class",
                    "Nervous_system",
                    "Synaptic_neuropil",
                    "Synaptic_neuropil_domain"
                ],
                "short_form": "FBbt_00007055",
                "label": "superior medial protocerebrum"
            }
        },
        {
            "relation": {
                "iri": "http://purl.obolibrary.org/obo/RO_0013002",
                "label": "receives synaptic input in region",
                "type": "receives_synaptic_input_in_region"
            },
            "object": {
                "symbol": "",
                "iri": "http://purl.obolibrary.org/obo/FBbt_00007054",
                "types": [
                    "Entity",
                    "Adult",
                    "Anatomy",
                    "Class",
                    "Nervous_system",
                    "Synaptic_neuropil",
                    "Synaptic_neuropil_domain"
                ],
                "short_form": "FBbt_00007054",
                "label": "superior lateral protocerebrum"
            }
        },
        {
            "relation": {
                "iri": "http://purl.obolibrary.org/obo/RO_0013002",
                "label": "receives synaptic input in region",
                "type": "receives_synaptic_input_in_region"
            },
            "object": {
                "symbol": "",
                "iri": "http://purl.obolibrary.org/obo/FBbt_00045032",
                "types": [
                    "Entity",
                    "Adult",
                    "Anatomy",
                    "Class",
                    "Nervous_system",
                    "Synaptic_neuropil",
                    "Synaptic_neuropil_domain"
                ],
                "short_form": "FBbt_00045032",
                "label": "superior intermediate protocerebrum"
            }
        },
        {
            "relation": {
                "iri": "http://purl.obolibrary.org/obo/RO_0013006",
                "label": "sends_synaptic_output_throughout",
                "type": "sends_synaptic_output_throughout"
            },
            "object": {
                "symbol": "",
                "iri": "http://purl.obolibrary.org/obo/FBbt_00100283",
                "types": [
                    "Entity",
                    "Adult",
                    "Anatomy",
                    "Class",
                    "Nervous_system",
                    "Synaptic_neuropil",
                    "Synaptic_neuropil_subdomain"
                ],
                "short_form": "FBbt_00100283",
                "label": "mushroom body alpha\\' lobe slice 2"
            }
        },
        {
            "relation": {
                "iri": "http://purl.obolibrary.org/obo/RO_0013006",
                "label": "sends_synaptic_output_throughout",
                "type": "sends_synaptic_output_throughout"
            },
            "object": {
                "symbol": "",
                "iri": "http://purl.obolibrary.org/obo/FBbt_00100286",
                "types": [
                    "Entity",
                    "Adult",
                    "Anatomy",
                    "Class",
                    "Nervous_system",
                    "Synaptic_neuropil",
                    "Synaptic_neuropil_subdomain"
                ],
                "short_form": "FBbt_00100286",
                "label": "mushroom body alpha lobe slice 2"
            }
        }
    ],
    "xrefs": [
        {
            "link_base": "https://flybrain-ndb.virtualflybrain.org/neuronrec-",
            "site": {
                "symbol": "",
                "iri": "http://virtualflybrain.org/reports/FlyBrain_NDB",
                "types": [
                    "Entity",
                    "Individual",
                    "Site"
                ],
                "short_form": "FlyBrain_NDB",
                "label": "FlyBrain NeuronDB"
            },
            "is_data_source": false,
            "link_postfix": [
                ".html"
            ],
            "icon": "http://flybrain-ndb.virtualflybrain.org/NDB_title260.gif",
            "accession": "10461",
            "link_text": "mushroom body vertical lobe arborizing neuron 1 on FlyBrain NeuronDB",
            "homepage": "https://flybrain-ndb.virtualflybrain.org"
        }
    ],
    "anatomy_channel_image": [
        {
            "anatomy": {
                "symbol": "",
                "iri": "http://virtualflybrain.org/reports/VFB_00013508",
                "types": [
                    "Entity",
                    "Adult",
                    "Anatomy",
                    "Cell",
                    "Dopaminergic",
                    "Expression_pattern_fragment",
                    "Individual",
                    "NBLAST",
                    "Nervous_system",
                    "Neuron",
                    "VFB",
                    "has_image",
                    "NBLASTexp"
                ],
                "short_form": "VFB_00013508",
                "label": "TH-F-200059"
            },
            "channel_image": {
                "image": {
                    "template_channel": {
                        "symbol": "",
                        "iri": "http://virtualflybrain.org/reports/VFBc_00101567",
                        "types": [
                            "Entity",
                            "Individual",
                            "Template"
                        ],
                        "short_form": "VFBc_00101567",
                        "label": "JRC2018Unisex_c"
                    },
                    "index": [],
                    "template_anatomy": {
                        "symbol": "",
                        "iri": "http://virtualflybrain.org/reports/VFB_00101567",
                        "types": [
                            "Entity",
                            "Adult",
                            "Anatomy",
                            "Individual",
                            "Nervous_system",
                            "Template",
                            "has_image"
                        ],
                        "short_form": "VFB_00101567",
                        "label": "JRC2018Unisex"
                    },
                    "image_folder": "http://www.virtualflybrain.org/data/VFB/i/0001/3508/VFB_00101567/"
                },
                "channel": {
                    "symbol": "",
                    "iri": "http://virtualflybrain.org/reports/VFBc_00013508",
                    "types": [
                        "Entity",
                        "Individual",
                        "VFB"
                    ],
                    "short_form": "VFBc_00013508",
                    "label": "TH-F-200059-c"
                },
                "imaging_technique": {
                    "symbol": "Confocal",
                    "iri": "http://purl.obolibrary.org/obo/FBbi_00000251",
                    "types": [
                        "Entity",
                        "Class"
                    ],
                    "short_form": "FBbi_00000251",
                    "label": "confocal microscopy"
                }
            }
        },
        {
            "anatomy": {
                "symbol": "",
                "iri": "http://virtualflybrain.org/reports/VFB_00013508",
                "types": [
                    "Entity",
                    "Adult",
                    "Anatomy",
                    "Cell",
                    "Dopaminergic",
                    "Expression_pattern_fragment",
                    "Individual",
                    "NBLAST",
                    "Nervous_system",
                    "Neuron",
                    "VFB",
                    "has_image",
                    "NBLASTexp"
                ],
                "short_form": "VFB_00013508",
                "label": "TH-F-200059"
            },
            "channel_image": {
                "image": {
                    "template_channel": {
                        "symbol": "",
                        "iri": "http://virtualflybrain.org/reports/VFBc_00017894",
                        "types": [
                            "Entity",
                            "Individual",
                            "Template",
                            "VFB"
                        ],
                        "short_form": "VFBc_00017894",
                        "label": "JFRC2_template_c"
                    },
                    "index": [],
                    "template_anatomy": {
                        "symbol": "",
                        "iri": "http://virtualflybrain.org/reports/VFB_00017894",
                        "types": [
                            "Entity",
                            "Adult",
                            "Anatomy",
                            "Individual",
                            "Nervous_system",
                            "Template",
                            "VFB",
                            "has_image"
                        ],
                        "short_form": "VFB_00017894",
                        "label": "adult brain template JFRC2"
                    },
                    "image_folder": "http://www.virtualflybrain.org/data/VFB/i/0001/3508/"
                },
                "channel": {
                    "symbol": "",
                    "iri": "http://virtualflybrain.org/reports/VFBc_00013508",
                    "types": [
                        "Entity",
                        "Individual",
                        "VFB"
                    ],
                    "short_form": "VFBc_00013508",
                    "label": "TH-F-200059-c"
                },
                "imaging_technique": {
                    "symbol": "Confocal",
                    "iri": "http://purl.obolibrary.org/obo/FBbi_00000251",
                    "types": [
                        "Entity",
                        "Class"
                    ],
                    "short_form": "FBbi_00000251",
                    "label": "confocal microscopy"
                }
            }
        },
        {
            "anatomy": {
                "symbol": "",
                "iri": "http://virtualflybrain.org/reports/VFB_00013533",
                "types": [
                    "Entity",
                    "Adult",
                    "Anatomy",
                    "Cell",
                    "Dopaminergic",
                    "Expression_pattern_fragment",
                    "Individual",
                    "NBLAST",
                    "Nervous_system",
                    "Neuron",
                    "VFB",
                    "has_image",
                    "NBLASTexp"
                ],
                "short_form": "VFB_00013533",
                "label": "TH-F-300056"
            },
            "channel_image": {
                "image": {
                    "template_channel": {
                        "symbol": "",
                        "iri": "http://virtualflybrain.org/reports/VFBc_00017894",
                        "types": [
                            "Entity",
                            "Individual",
                            "Template",
                            "VFB"
                        ],
                        "short_form": "VFBc_00017894",
                        "label": "JFRC2_template_c"
                    },
                    "index": [],
                    "template_anatomy": {
                        "symbol": "",
                        "iri": "http://virtualflybrain.org/reports/VFB_00017894",
                        "types": [
                            "Entity",
                            "Adult",
                            "Anatomy",
                            "Individual",
                            "Nervous_system",
                            "Template",
                            "VFB",
                            "has_image"
                        ],
                        "short_form": "VFB_00017894",
                        "label": "adult brain template JFRC2"
                    },
                    "image_folder": "http://www.virtualflybrain.org/data/VFB/i/0001/3533/"
                },
                "channel": {
                    "symbol": "",
                    "iri": "http://virtualflybrain.org/reports/VFBc_00013533",
                    "types": [
                        "Entity",
                        "Individual",
                        "VFB"
                    ],
                    "short_form": "VFBc_00013533",
                    "label": "TH-F-300056-c"
                },
                "imaging_technique": {
                    "symbol": "Confocal",
                    "iri": "http://purl.obolibrary.org/obo/FBbi_00000251",
                    "types": [
                        "Entity",
                        "Class"
                    ],
                    "short_form": "FBbi_00000251",
                    "label": "confocal microscopy"
                }
            }
        },
        {
            "anatomy": {
                "symbol": "",
                "iri": "http://virtualflybrain.org/reports/VFB_00013533",
                "types": [
                    "Entity",
                    "Adult",
                    "Anatomy",
                    "Cell",
                    "Dopaminergic",
                    "Expression_pattern_fragment",
                    "Individual",
                    "NBLAST",
                    "Nervous_system",
                    "Neuron",
                    "VFB",
                    "has_image",
                    "NBLASTexp"
                ],
                "short_form": "VFB_00013533",
                "label": "TH-F-300056"
            },
            "channel_image": {
                "image": {
                    "template_channel": {
                        "symbol": "",
                        "iri": "http://virtualflybrain.org/reports/VFBc_00101567",
                        "types": [
                            "Entity",
                            "Individual",
                            "Template"
                        ],
                        "short_form": "VFBc_00101567",
                        "label": "JRC2018Unisex_c"
                    },
                    "index": [],
                    "template_anatomy": {
                        "symbol": "",
                        "iri": "http://virtualflybrain.org/reports/VFB_00101567",
                        "types": [
                            "Entity",
                            "Adult",
                            "Anatomy",
                            "Individual",
                            "Nervous_system",
                            "Template",
                            "has_image"
                        ],
                        "short_form": "VFB_00101567",
                        "label": "JRC2018Unisex"
                    },
                    "image_folder": "http://www.virtualflybrain.org/data/VFB/i/0001/3533/VFB_00101567/"
                },
                "channel": {
                    "symbol": "",
                    "iri": "http://virtualflybrain.org/reports/VFBc_00013533",
                    "types": [
                        "Entity",
                        "Individual",
                        "VFB"
                    ],
                    "short_form": "VFBc_00013533",
                    "label": "TH-F-300056-c"
                },
                "imaging_technique": {
                    "symbol": "Confocal",
                    "iri": "http://purl.obolibrary.org/obo/FBbi_00000251",
                    "types": [
                        "Entity",
                        "Class"
                    ],
                    "short_form": "FBbi_00000251",
                    "label": "confocal microscopy"
                }
            }
        },
        {
            "anatomy": {
                "symbol": "",
                "iri": "http://virtualflybrain.org/reports/VFB_00002583",
                "types": [
                    "Entity",
                    "Adult",
                    "Anatomy",
                    "Cell",
                    "Dopaminergic",
                    "Expression_pattern_fragment",
                    "Individual",
                    "NBLAST",
                    "Nervous_system",
                    "Neuron",
                    "VFB",
                    "has_image",
                    "NBLASTexp"
                ],
                "short_form": "VFB_00002583",
                "label": "TH-M-300013"
            },
            "channel_image": {
                "image": {
                    "template_channel": {
                        "symbol": "",
                        "iri": "http://virtualflybrain.org/reports/VFBc_00101567",
                        "types": [
                            "Entity",
                            "Individual",
                            "Template"
                        ],
                        "short_form": "VFBc_00101567",
                        "label": "JRC2018Unisex_c"
                    },
                    "index": [],
                    "template_anatomy": {
                        "symbol": "",
                        "iri": "http://virtualflybrain.org/reports/VFB_00101567",
                        "types": [
                            "Entity",
                            "Adult",
                            "Anatomy",
                            "Individual",
                            "Nervous_system",
                            "Template",
                            "has_image"
                        ],
                        "short_form": "VFB_00101567",
                        "label": "JRC2018Unisex"
                    },
                    "image_folder": "http://www.virtualflybrain.org/data/VFB/i/0000/2583/VFB_00101567/"
                },
                "channel": {
                    "symbol": "",
                    "iri": "http://virtualflybrain.org/reports/VFBc_00002583",
                    "types": [
                        "Entity",
                        "Individual",
                        "VFB"
                    ],
                    "short_form": "VFBc_00002583",
                    "label": "TH-M-300013-c"
                },
                "imaging_technique": {
                    "symbol": "Confocal",
                    "iri": "http://purl.obolibrary.org/obo/FBbi_00000251",
                    "types": [
                        "Entity",
                        "Class"
                    ],
                    "short_form": "FBbi_00000251",
                    "label": "confocal microscopy"
                }
            }
        }
    ],
    "pub_syn": [
        {
            "synonym": {
                "scope": "has_exact_synonym",
                "label": "PPL105",
                "type": ""
            },
            "pub": {
                "core": {
                    "symbol": "",
                    "iri": "http://flybase.org/reports/FBrf0248215",
                    "types": [
                        "Entity",
                        "Individual",
                        "pub"
                    ],
                    "short_form": "FBrf0248215",
                    "label": "Li et al., 2020, eLife 9: e62576"
                },
                "FlyBase": "",
                "PubMed": "33315010",
                "DOI": "10.7554/eLife.62576"
            }
        },
        {
            "synonym": {
                "scope": "has_exact_synonym",
                "label": "PPL1-alpha'2alpha2",
                "type": ""
            },
            "pub": {
                "core": {
                    "symbol": "",
                    "iri": "http://flybase.org/reports/FBrf0227179",
                    "types": [
                        "Entity",
                        "Individual",
                        "pub"
                    ],
                    "short_form": "FBrf0227179",
                    "label": "Aso et al., 2014, eLife 3: e04577"
                },
                "FlyBase": "FBrf0227179",
                "PubMed": "25535793",
                "DOI": "10.7554/eLife.04577"
            }
        },
        {
            "synonym": {
                "scope": "has_exact_synonym",
                "label": "PPL1-05",
                "type": ""
            },
            "pub": {
                "core": {
                    "symbol": "",
                    "iri": "http://flybase.org/reports/FBrf0227179",
                    "types": [
                        "Entity",
                        "Individual",
                        "pub"
                    ],
                    "short_form": "FBrf0227179",
                    "label": "Aso et al., 2014, eLife 3: e04577"
                },
                "FlyBase": "FBrf0227179",
                "PubMed": "25535793",
                "DOI": "10.7554/eLife.04577"
            }
        },
        {
            "synonym": {
                "scope": "has_exact_synonym",
                "label": "MB-V1",
                "type": ""
            },
            "pub": {
                "core": {
                    "symbol": "",
                    "iri": "http://flybase.org/reports/FBrf0205263",
                    "types": [
                        "Entity",
                        "Individual",
                        "pub"
                    ],
                    "short_form": "FBrf0205263",
                    "label": "Tanaka et al., 2008, J. Comp. Neurol. 508(5): 711--755"
                },
                "FlyBase": "",
                "PubMed": "18395827",
                "DOI": "10.1002/cne.21692"
            }
        }
    ],
    "def_pubs": [
        {
            "core": {
                "symbol": "",
                "iri": "http://flybase.org/reports/FBrf0227179",
                "types": [
                    "Entity",
                    "Individual",
                    "pub"
                ],
                "short_form": "FBrf0227179",
                "label": "Aso et al., 2014, eLife 3: e04577"
            },
            "FlyBase": "FBrf0227179",
            "PubMed": "25535793",
            "DOI": "10.7554/eLife.04577"
        },
        {
            "core": {
                "symbol": "",
                "iri": "http://flybase.org/reports/FBrf0205263",
                "types": [
                    "Entity",
                    "Individual",
                    "pub"
                ],
                "short_form": "FBrf0205263",
                "label": "Tanaka et al., 2008, J. Comp. Neurol. 508(5): 711--755"
            },
            "FlyBase": "",
            "PubMed": "18395827",
            "DOI": "10.1002/cne.21692"
        },
        {
            "core": {
                "symbol": "",
                "iri": "http://flybase.org/reports/FBrf0248215",
                "types": [
                    "Entity",
                    "Individual",
                    "pub"
                ],
                "short_form": "FBrf0248215",
                "label": "Li et al., 2020, eLife 9: e62576"
            },
            "FlyBase": "",
            "PubMed": "33315010",
            "DOI": "10.7554/eLife.62576"
        }
    ]
}