adult fruitless aDT-b neuron [FBbt_00052693]

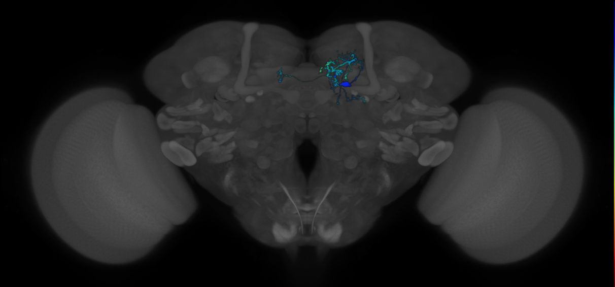
Adult fruitless neuron that develops from neuroblast CREa1 (Ito et al., 2013). It has its soma dorsal to the antennal lobe and dendritic arbors in the subesophageal zone (Yu et al., 2010). It projects dorsally to terminate in the lateral protocerebral complex (Yu et al., 2010).

Open adult fruitless aDT-b neuron in VFB

Term Information

  • ID: FBbt_00052693
  • Name: adult fruitless aDT-b neuron
  • Definition: Adult fruitless neuron that develops from neuroblast CREa1 (Ito et al., 2013). It has its soma dorsal to the antennal lobe and dendritic arbors in the subesophageal zone (Yu et al., 2010). It projects dorsally to terminate in the lateral protocerebral complex (Yu et al., 2010).
  • Synonyms:
  • Type:
  • Comment:

Example Images

adult fruitless aDT-b neuron adult fruitless aDT-b neuron adult fruitless aDT-b neuron adult fruitless aDT-b neuron adult fruitless aDT-b neuron adult fruitless aDT-b neuron adult fruitless aDT-b neuron adult fruitless aDT-b neuron adult fruitless aDT-b neuron adult fruitless aDT-b neuron

VFB Term Json

{
    "term": {
        "core": {
            "iri": "http://purl.obolibrary.org/obo/FBbt_00052693",
            "symbol": "fru-aDT-b",
            "types": [
                "Entity",
                "Adult",
                "Anatomy",
                "Cell",
                "Class",
                "Nervous_system",
                "Neuron",
                "has_subClass"
            ],
            "short_form": "FBbt_00052693",
            "unique_facets": [
                "Adult",
                "Nervous_system",
                "Neuron"
            ],
            "label": "adult fruitless aDT-b neuron"
        },
        "description": [
            "Adult fruitless neuron that develops from neuroblast CREa1 (Ito et al., 2013). It has its soma dorsal to the antennal lobe and dendritic arbors in the subesophageal zone (Yu et al., 2010). It projects dorsally to terminate in the lateral protocerebral complex (Yu et al., 2010)."
        ],
        "comment": []
    },
    "query": "Get JSON for Class",
    "version": "275438e",
    "parents": [
        {
            "symbol": "",
            "iri": "http://purl.obolibrary.org/obo/FBbt_00059274",
            "types": [
                "Entity",
                "Adult",
                "Anatomy",
                "Cell",
                "Class",
                "Nervous_system",
                "Neuron",
                "has_subClass",
                "hasScRNAseq"
            ],
            "short_form": "FBbt_00059274",
            "unique_facets": [
                "Adult",
                "Nervous_system",
                "Neuron"
            ],
            "label": "adult CNS neuron"
        },
        {
            "symbol": "",
            "iri": "http://purl.obolibrary.org/obo/FBbt_00016687",
            "types": [
                "Entity",
                "Anatomy",
                "Cell",
                "Class",
                "Nervous_system",
                "Neuron",
                "has_subClass",
                "hasScRNAseq"
            ],
            "short_form": "FBbt_00016687",
            "unique_facets": [
                "Nervous_system",
                "Neuron"
            ],
            "label": "fruitless expressing neuron"
        },
        {
            "symbol": "",
            "iri": "http://purl.obolibrary.org/obo/FBbt_00049466",
            "types": [
                "Entity",
                "Adult",
                "Anatomy",
                "Cell",
                "Class",
                "Nervous_system",
                "Neuron",
                "has_subClass"
            ],
            "short_form": "FBbt_00049466",
            "unique_facets": [
                "Adult",
                "Nervous_system",
                "Neuron"
            ],
            "label": "adult CREa1 lineage neuron"
        },
        {
            "symbol": "",
            "iri": "http://purl.obolibrary.org/obo/FBbt_00001366",
            "types": [
                "Entity",
                "Anatomy",
                "Cell",
                "Class",
                "Nervous_system",
                "Neuron",
                "has_subClass",
                "hasScRNAseq"
            ],
            "short_form": "FBbt_00001366",
            "unique_facets": [
                "Nervous_system",
                "Neuron"
            ],
            "label": "supraesophageal ganglion neuron"
        }
    ],
    "relationships": [
        {
            "relation": {
                "iri": "http://purl.obolibrary.org/obo/RO_0013002",
                "label": "receives synaptic input in region",
                "type": "receives_synaptic_input_in_region"
            },
            "object": {
                "symbol": "",
                "iri": "http://purl.obolibrary.org/obo/FBbt_00110639",
                "types": [
                    "Entity",
                    "Adult",
                    "Anatomy",
                    "Class",
                    "Nervous_system"
                ],
                "short_form": "FBbt_00110639",
                "unique_facets": [
                    "Adult",
                    "Nervous_system"
                ],
                "label": "adult subesophageal zone"
            }
        },
        {
            "relation": {
                "iri": "http://purl.obolibrary.org/obo/RO_0013001",
                "label": "has synaptic IO in region",
                "type": "has_synaptic_IO_in_region"
            },
            "object": {
                "symbol": "",
                "iri": "http://purl.obolibrary.org/obo/FBbt_00007145",
                "types": [
                    "Entity",
                    "Adult",
                    "Anatomy",
                    "Class",
                    "Nervous_system",
                    "Neuromere"
                ],
                "short_form": "FBbt_00007145",
                "unique_facets": [
                    "Adult",
                    "Nervous_system",
                    "Neuromere"
                ],
                "label": "adult protocerebrum"
            }
        },
        {
            "relation": {
                "iri": "http://purl.obolibrary.org/obo/RO_0002100",
                "label": "has soma location",
                "type": "has_soma_location"
            },
            "object": {
                "symbol": "",
                "iri": "http://purl.obolibrary.org/obo/FBbt_00051000",
                "types": [
                    "Entity",
                    "Adult",
                    "Anatomy",
                    "Class",
                    "Nervous_system"
                ],
                "short_form": "FBbt_00051000",
                "unique_facets": [
                    "Adult",
                    "Nervous_system"
                ],
                "label": "cell body rind of adult anterodorsal antennal lobe"
            }
        },
        {
            "relation": {
                "iri": "http://purl.obolibrary.org/obo/RO_0000053",
                "label": "bearer of",
                "type": "bearer_of"
            },
            "object": {
                "symbol": "",
                "iri": "http://purl.obolibrary.org/obo/PATO_0000618",
                "types": [
                    "Entity",
                    "Class"
                ],
                "short_form": "PATO_0000618",
                "unique_facets": [
                    "Class"
                ],
                "label": "bilateral"
            }
        }
    ],
    "xrefs": [],
    "anatomy_channel_image": [
        {
            "anatomy": {
                "symbol": "",
                "iri": "http://virtualflybrain.org/reports/VFB_00007353",
                "types": [
                    "Entity",
                    "Adult",
                    "Anatomy",
                    "Cell",
                    "Expression_pattern_fragment",
                    "Individual",
                    "Nervous_system",
                    "Neuron",
                    "VFB",
                    "has_image",
                    "FlyCircuit",
                    "NBLAST"
                ],
                "short_form": "VFB_00007353",
                "unique_facets": [
                    "Adult",
                    "Expression_pattern_fragment",
                    "Nervous_system",
                    "Neuron"
                ],
                "label": "fru-F-700107"
            },
            "channel_image": {
                "image": {
                    "image_nrrd": "http://www.virtualflybrain.org/data/VFB/i/0000/7353/VFB_00101567/volume.nrrd",
                    "image_swc": "http://www.virtualflybrain.org/data/VFB/i/0000/7353/VFB_00101567/volume.swc",
                    "template_channel": {
                        "symbol": "",
                        "iri": "http://virtualflybrain.org/reports/VFBc_00101567",
                        "types": [
                            "Entity",
                            "Individual",
                            "Template"
                        ],
                        "short_form": "VFBc_00101567",
                        "unique_facets": [],
                        "label": "JRC2018Unisex_c"
                    },
                    "index": [],
                    "template_anatomy": {
                        "symbol": "",
                        "iri": "http://virtualflybrain.org/reports/VFB_00101567",
                        "types": [
                            "Entity",
                            "Adult",
                            "Anatomy",
                            "Individual",
                            "Nervous_system",
                            "Template",
                            "has_image"
                        ],
                        "short_form": "VFB_00101567",
                        "unique_facets": [
                            "Adult",
                            "Nervous_system"
                        ],
                        "label": "JRC2018Unisex"
                    },
                    "image_wlz": "http://www.virtualflybrain.org/data/VFB/i/0000/7353/VFB_00101567/volume.wlz",
                    "image_obj": "http://www.virtualflybrain.org/data/VFB/i/0000/7353/VFB_00101567/volume.obj",
                    "image_thumbnail": "http://www.virtualflybrain.org/data/VFB/i/0000/7353/VFB_00101567/thumbnail.png",
                    "image_folder": "http://www.virtualflybrain.org/data/VFB/i/0000/7353/VFB_00101567/"
                },
                "channel": {
                    "symbol": "",
                    "iri": "http://virtualflybrain.org/reports/VFBc_00007353",
                    "types": [
                        "Entity",
                        "Individual",
                        "VFB"
                    ],
                    "short_form": "VFBc_00007353",
                    "unique_facets": [],
                    "label": "fru-F-700107-c"
                },
                "imaging_technique": {
                    "symbol": "Confocal",
                    "iri": "http://purl.obolibrary.org/obo/FBbi_00000251",
                    "types": [
                        "Entity",
                        "Class",
                        "has_subClass"
                    ],
                    "short_form": "FBbi_00000251",
                    "unique_facets": [
                        "Class"
                    ],
                    "label": "confocal microscopy"
                }
            }
        },
        {
            "anatomy": {
                "symbol": "",
                "iri": "http://virtualflybrain.org/reports/VFB_00007353",
                "types": [
                    "Entity",
                    "Adult",
                    "Anatomy",
                    "Cell",
                    "Expression_pattern_fragment",
                    "Individual",
                    "Nervous_system",
                    "Neuron",
                    "VFB",
                    "has_image",
                    "FlyCircuit",
                    "NBLAST"
                ],
                "short_form": "VFB_00007353",
                "unique_facets": [
                    "Adult",
                    "Expression_pattern_fragment",
                    "Nervous_system",
                    "Neuron"
                ],
                "label": "fru-F-700107"
            },
            "channel_image": {
                "image": {
                    "image_nrrd": "http://www.virtualflybrain.org/data/VFB/i/0000/7353/VFB_00017894/volume.nrrd",
                    "image_swc": "http://www.virtualflybrain.org/data/VFB/i/0000/7353/VFB_00017894/volume.swc",
                    "template_channel": {
                        "symbol": "",
                        "iri": "http://virtualflybrain.org/reports/VFBc_00017894",
                        "types": [
                            "Entity",
                            "Individual",
                            "Template",
                            "VFB"
                        ],
                        "short_form": "VFBc_00017894",
                        "unique_facets": [],
                        "label": "JFRC2_template_c"
                    },
                    "index": [],
                    "template_anatomy": {
                        "symbol": "",
                        "iri": "http://virtualflybrain.org/reports/VFB_00017894",
                        "types": [
                            "Entity",
                            "Adult",
                            "Anatomy",
                            "Individual",
                            "Nervous_system",
                            "Template",
                            "VFB",
                            "has_image"
                        ],
                        "short_form": "VFB_00017894",
                        "unique_facets": [
                            "Adult",
                            "Nervous_system"
                        ],
                        "label": "adult brain template JFRC2"
                    },
                    "image_wlz": "http://www.virtualflybrain.org/data/VFB/i/0000/7353/VFB_00017894/volume.wlz",
                    "image_obj": "http://www.virtualflybrain.org/data/VFB/i/0000/7353/VFB_00017894/volume.obj",
                    "image_thumbnail": "http://www.virtualflybrain.org/data/VFB/i/0000/7353/VFB_00017894/thumbnail.png",
                    "image_folder": "http://www.virtualflybrain.org/data/VFB/i/0000/7353/VFB_00017894/"
                },
                "channel": {
                    "symbol": "",
                    "iri": "http://virtualflybrain.org/reports/VFBc_00007353",
                    "types": [
                        "Entity",
                        "Individual",
                        "VFB"
                    ],
                    "short_form": "VFBc_00007353",
                    "unique_facets": [],
                    "label": "fru-F-700107-c"
                },
                "imaging_technique": {
                    "symbol": "Confocal",
                    "iri": "http://purl.obolibrary.org/obo/FBbi_00000251",
                    "types": [
                        "Entity",
                        "Class",
                        "has_subClass"
                    ],
                    "short_form": "FBbi_00000251",
                    "unique_facets": [
                        "Class"
                    ],
                    "label": "confocal microscopy"
                }
            }
        },
        {
            "anatomy": {
                "symbol": "",
                "iri": "http://virtualflybrain.org/reports/VFB_00004791",
                "types": [
                    "Entity",
                    "Adult",
                    "Anatomy",
                    "Cell",
                    "Expression_pattern_fragment",
                    "Individual",
                    "Nervous_system",
                    "Neuron",
                    "VFB",
                    "has_image",
                    "FlyCircuit",
                    "NBLAST",
                    "NBLASTexp"
                ],
                "short_form": "VFB_00004791",
                "unique_facets": [
                    "Adult",
                    "Expression_pattern_fragment",
                    "Nervous_system",
                    "Neuron"
                ],
                "label": "fru-F-400214"
            },
            "channel_image": {
                "image": {
                    "image_nrrd": "http://www.virtualflybrain.org/data/VFB/i/0000/4791/VFB_00017894/volume.nrrd",
                    "image_swc": "http://www.virtualflybrain.org/data/VFB/i/0000/4791/VFB_00017894/volume.swc",
                    "template_channel": {
                        "symbol": "",
                        "iri": "http://virtualflybrain.org/reports/VFBc_00017894",
                        "types": [
                            "Entity",
                            "Individual",
                            "Template",
                            "VFB"
                        ],
                        "short_form": "VFBc_00017894",
                        "unique_facets": [],
                        "label": "JFRC2_template_c"
                    },
                    "index": [],
                    "template_anatomy": {
                        "symbol": "",
                        "iri": "http://virtualflybrain.org/reports/VFB_00017894",
                        "types": [
                            "Entity",
                            "Adult",
                            "Anatomy",
                            "Individual",
                            "Nervous_system",
                            "Template",
                            "VFB",
                            "has_image"
                        ],
                        "short_form": "VFB_00017894",
                        "unique_facets": [
                            "Adult",
                            "Nervous_system"
                        ],
                        "label": "adult brain template JFRC2"
                    },
                    "image_wlz": "http://www.virtualflybrain.org/data/VFB/i/0000/4791/VFB_00017894/volume.wlz",
                    "image_obj": "http://www.virtualflybrain.org/data/VFB/i/0000/4791/VFB_00017894/volume.obj",
                    "image_thumbnail": "http://www.virtualflybrain.org/data/VFB/i/0000/4791/VFB_00017894/thumbnail.png",
                    "image_folder": "http://www.virtualflybrain.org/data/VFB/i/0000/4791/VFB_00017894/"
                },
                "channel": {
                    "symbol": "",
                    "iri": "http://virtualflybrain.org/reports/VFBc_00004791",
                    "types": [
                        "Entity",
                        "Individual",
                        "VFB"
                    ],
                    "short_form": "VFBc_00004791",
                    "unique_facets": [],
                    "label": "fru-F-400214-c"
                },
                "imaging_technique": {
                    "symbol": "Confocal",
                    "iri": "http://purl.obolibrary.org/obo/FBbi_00000251",
                    "types": [
                        "Entity",
                        "Class",
                        "has_subClass"
                    ],
                    "short_form": "FBbi_00000251",
                    "unique_facets": [
                        "Class"
                    ],
                    "label": "confocal microscopy"
                }
            }
        },
        {
            "anatomy": {
                "symbol": "",
                "iri": "http://virtualflybrain.org/reports/VFB_00004791",
                "types": [
                    "Entity",
                    "Adult",
                    "Anatomy",
                    "Cell",
                    "Expression_pattern_fragment",
                    "Individual",
                    "Nervous_system",
                    "Neuron",
                    "VFB",
                    "has_image",
                    "FlyCircuit",
                    "NBLAST",
                    "NBLASTexp"
                ],
                "short_form": "VFB_00004791",
                "unique_facets": [
                    "Adult",
                    "Expression_pattern_fragment",
                    "Nervous_system",
                    "Neuron"
                ],
                "label": "fru-F-400214"
            },
            "channel_image": {
                "image": {
                    "image_nrrd": "http://www.virtualflybrain.org/data/VFB/i/0000/4791/VFB_00101567/volume.nrrd",
                    "image_swc": "http://www.virtualflybrain.org/data/VFB/i/0000/4791/VFB_00101567/volume.swc",
                    "template_channel": {
                        "symbol": "",
                        "iri": "http://virtualflybrain.org/reports/VFBc_00101567",
                        "types": [
                            "Entity",
                            "Individual",
                            "Template"
                        ],
                        "short_form": "VFBc_00101567",
                        "unique_facets": [],
                        "label": "JRC2018Unisex_c"
                    },
                    "index": [],
                    "template_anatomy": {
                        "symbol": "",
                        "iri": "http://virtualflybrain.org/reports/VFB_00101567",
                        "types": [
                            "Entity",
                            "Adult",
                            "Anatomy",
                            "Individual",
                            "Nervous_system",
                            "Template",
                            "has_image"
                        ],
                        "short_form": "VFB_00101567",
                        "unique_facets": [
                            "Adult",
                            "Nervous_system"
                        ],
                        "label": "JRC2018Unisex"
                    },
                    "image_wlz": "http://www.virtualflybrain.org/data/VFB/i/0000/4791/VFB_00101567/volume.wlz",
                    "image_obj": "http://www.virtualflybrain.org/data/VFB/i/0000/4791/VFB_00101567/volume.obj",
                    "image_thumbnail": "http://www.virtualflybrain.org/data/VFB/i/0000/4791/VFB_00101567/thumbnail.png",
                    "image_folder": "http://www.virtualflybrain.org/data/VFB/i/0000/4791/VFB_00101567/"
                },
                "channel": {
                    "symbol": "",
                    "iri": "http://virtualflybrain.org/reports/VFBc_00004791",
                    "types": [
                        "Entity",
                        "Individual",
                        "VFB"
                    ],
                    "short_form": "VFBc_00004791",
                    "unique_facets": [],
                    "label": "fru-F-400214-c"
                },
                "imaging_technique": {
                    "symbol": "Confocal",
                    "iri": "http://purl.obolibrary.org/obo/FBbi_00000251",
                    "types": [
                        "Entity",
                        "Class",
                        "has_subClass"
                    ],
                    "short_form": "FBbi_00000251",
                    "unique_facets": [
                        "Class"
                    ],
                    "label": "confocal microscopy"
                }
            }
        },
        {
            "anatomy": {
                "symbol": "",
                "iri": "http://virtualflybrain.org/reports/VFB_00009940",
                "types": [
                    "Entity",
                    "Adult",
                    "Anatomy",
                    "Cell",
                    "Expression_pattern_fragment",
                    "Individual",
                    "Nervous_system",
                    "Neuron",
                    "VFB",
                    "has_image",
                    "FlyCircuit",
                    "NBLAST",
                    "NBLASTexp"
                ],
                "short_form": "VFB_00009940",
                "unique_facets": [
                    "Adult",
                    "Expression_pattern_fragment",
                    "Nervous_system",
                    "Neuron"
                ],
                "label": "fru-F-600021"
            },
            "channel_image": {
                "image": {
                    "image_nrrd": "http://www.virtualflybrain.org/data/VFB/i/0000/9940/VFB_00017894/volume.nrrd",
                    "image_swc": "http://www.virtualflybrain.org/data/VFB/i/0000/9940/VFB_00017894/volume.swc",
                    "template_channel": {
                        "symbol": "",
                        "iri": "http://virtualflybrain.org/reports/VFBc_00017894",
                        "types": [
                            "Entity",
                            "Individual",
                            "Template",
                            "VFB"
                        ],
                        "short_form": "VFBc_00017894",
                        "unique_facets": [],
                        "label": "JFRC2_template_c"
                    },
                    "index": [],
                    "template_anatomy": {
                        "symbol": "",
                        "iri": "http://virtualflybrain.org/reports/VFB_00017894",
                        "types": [
                            "Entity",
                            "Adult",
                            "Anatomy",
                            "Individual",
                            "Nervous_system",
                            "Template",
                            "VFB",
                            "has_image"
                        ],
                        "short_form": "VFB_00017894",
                        "unique_facets": [
                            "Adult",
                            "Nervous_system"
                        ],
                        "label": "adult brain template JFRC2"
                    },
                    "image_wlz": "http://www.virtualflybrain.org/data/VFB/i/0000/9940/VFB_00017894/volume.wlz",
                    "image_obj": "http://www.virtualflybrain.org/data/VFB/i/0000/9940/VFB_00017894/volume.obj",
                    "image_thumbnail": "http://www.virtualflybrain.org/data/VFB/i/0000/9940/VFB_00017894/thumbnail.png",
                    "image_folder": "http://www.virtualflybrain.org/data/VFB/i/0000/9940/VFB_00017894/"
                },
                "channel": {
                    "symbol": "",
                    "iri": "http://virtualflybrain.org/reports/VFBc_00009940",
                    "types": [
                        "Entity",
                        "Individual",
                        "VFB"
                    ],
                    "short_form": "VFBc_00009940",
                    "unique_facets": [],
                    "label": "fru-F-600021-c"
                },
                "imaging_technique": {
                    "symbol": "Confocal",
                    "iri": "http://purl.obolibrary.org/obo/FBbi_00000251",
                    "types": [
                        "Entity",
                        "Class",
                        "has_subClass"
                    ],
                    "short_form": "FBbi_00000251",
                    "unique_facets": [
                        "Class"
                    ],
                    "label": "confocal microscopy"
                }
            }
        },
        {
            "anatomy": {
                "symbol": "",
                "iri": "http://virtualflybrain.org/reports/VFB_00009940",
                "types": [
                    "Entity",
                    "Adult",
                    "Anatomy",
                    "Cell",
                    "Expression_pattern_fragment",
                    "Individual",
                    "Nervous_system",
                    "Neuron",
                    "VFB",
                    "has_image",
                    "FlyCircuit",
                    "NBLAST",
                    "NBLASTexp"
                ],
                "short_form": "VFB_00009940",
                "unique_facets": [
                    "Adult",
                    "Expression_pattern_fragment",
                    "Nervous_system",
                    "Neuron"
                ],
                "label": "fru-F-600021"
            },
            "channel_image": {
                "image": {
                    "image_nrrd": "http://www.virtualflybrain.org/data/VFB/i/0000/9940/VFB_00101567/volume.nrrd",
                    "image_swc": "http://www.virtualflybrain.org/data/VFB/i/0000/9940/VFB_00101567/volume.swc",
                    "template_channel": {
                        "symbol": "",
                        "iri": "http://virtualflybrain.org/reports/VFBc_00101567",
                        "types": [
                            "Entity",
                            "Individual",
                            "Template"
                        ],
                        "short_form": "VFBc_00101567",
                        "unique_facets": [],
                        "label": "JRC2018Unisex_c"
                    },
                    "index": [],
                    "template_anatomy": {
                        "symbol": "",
                        "iri": "http://virtualflybrain.org/reports/VFB_00101567",
                        "types": [
                            "Entity",
                            "Adult",
                            "Anatomy",
                            "Individual",
                            "Nervous_system",
                            "Template",
                            "has_image"
                        ],
                        "short_form": "VFB_00101567",
                        "unique_facets": [
                            "Adult",
                            "Nervous_system"
                        ],
                        "label": "JRC2018Unisex"
                    },
                    "image_wlz": "http://www.virtualflybrain.org/data/VFB/i/0000/9940/VFB_00101567/volume.wlz",
                    "image_obj": "http://www.virtualflybrain.org/data/VFB/i/0000/9940/VFB_00101567/volume.obj",
                    "image_thumbnail": "http://www.virtualflybrain.org/data/VFB/i/0000/9940/VFB_00101567/thumbnail.png",
                    "image_folder": "http://www.virtualflybrain.org/data/VFB/i/0000/9940/VFB_00101567/"
                },
                "channel": {
                    "symbol": "",
                    "iri": "http://virtualflybrain.org/reports/VFBc_00009940",
                    "types": [
                        "Entity",
                        "Individual",
                        "VFB"
                    ],
                    "short_form": "VFBc_00009940",
                    "unique_facets": [],
                    "label": "fru-F-600021-c"
                },
                "imaging_technique": {
                    "symbol": "Confocal",
                    "iri": "http://purl.obolibrary.org/obo/FBbi_00000251",
                    "types": [
                        "Entity",
                        "Class",
                        "has_subClass"
                    ],
                    "short_form": "FBbi_00000251",
                    "unique_facets": [
                        "Class"
                    ],
                    "label": "confocal microscopy"
                }
            }
        },
        {
            "anatomy": {
                "symbol": "",
                "iri": "http://virtualflybrain.org/reports/VFB_00006235",
                "types": [
                    "Entity",
                    "Adult",
                    "Anatomy",
                    "Cell",
                    "Expression_pattern_fragment",
                    "Individual",
                    "Nervous_system",
                    "Neuron",
                    "VFB",
                    "has_image",
                    "FlyCircuit",
                    "NBLAST",
                    "NBLASTexp"
                ],
                "short_form": "VFB_00006235",
                "unique_facets": [
                    "Adult",
                    "Expression_pattern_fragment",
                    "Nervous_system",
                    "Neuron"
                ],
                "label": "fru-F-400141"
            },
            "channel_image": {
                "image": {
                    "image_nrrd": "http://www.virtualflybrain.org/data/VFB/i/0000/6235/VFB_00101567/volume.nrrd",
                    "image_swc": "http://www.virtualflybrain.org/data/VFB/i/0000/6235/VFB_00101567/volume.swc",
                    "template_channel": {
                        "symbol": "",
                        "iri": "http://virtualflybrain.org/reports/VFBc_00101567",
                        "types": [
                            "Entity",
                            "Individual",
                            "Template"
                        ],
                        "short_form": "VFBc_00101567",
                        "unique_facets": [],
                        "label": "JRC2018Unisex_c"
                    },
                    "index": [],
                    "template_anatomy": {
                        "symbol": "",
                        "iri": "http://virtualflybrain.org/reports/VFB_00101567",
                        "types": [
                            "Entity",
                            "Adult",
                            "Anatomy",
                            "Individual",
                            "Nervous_system",
                            "Template",
                            "has_image"
                        ],
                        "short_form": "VFB_00101567",
                        "unique_facets": [
                            "Adult",
                            "Nervous_system"
                        ],
                        "label": "JRC2018Unisex"
                    },
                    "image_wlz": "http://www.virtualflybrain.org/data/VFB/i/0000/6235/VFB_00101567/volume.wlz",
                    "image_obj": "http://www.virtualflybrain.org/data/VFB/i/0000/6235/VFB_00101567/volume.obj",
                    "image_thumbnail": "http://www.virtualflybrain.org/data/VFB/i/0000/6235/VFB_00101567/thumbnail.png",
                    "image_folder": "http://www.virtualflybrain.org/data/VFB/i/0000/6235/VFB_00101567/"
                },
                "channel": {
                    "symbol": "",
                    "iri": "http://virtualflybrain.org/reports/VFBc_00006235",
                    "types": [
                        "Entity",
                        "Individual",
                        "VFB"
                    ],
                    "short_form": "VFBc_00006235",
                    "unique_facets": [],
                    "label": "fru-F-400141-c"
                },
                "imaging_technique": {
                    "symbol": "Confocal",
                    "iri": "http://purl.obolibrary.org/obo/FBbi_00000251",
                    "types": [
                        "Entity",
                        "Class",
                        "has_subClass"
                    ],
                    "short_form": "FBbi_00000251",
                    "unique_facets": [
                        "Class"
                    ],
                    "label": "confocal microscopy"
                }
            }
        },
        {
            "anatomy": {
                "symbol": "",
                "iri": "http://virtualflybrain.org/reports/VFB_00006235",
                "types": [
                    "Entity",
                    "Adult",
                    "Anatomy",
                    "Cell",
                    "Expression_pattern_fragment",
                    "Individual",
                    "Nervous_system",
                    "Neuron",
                    "VFB",
                    "has_image",
                    "FlyCircuit",
                    "NBLAST",
                    "NBLASTexp"
                ],
                "short_form": "VFB_00006235",
                "unique_facets": [
                    "Adult",
                    "Expression_pattern_fragment",
                    "Nervous_system",
                    "Neuron"
                ],
                "label": "fru-F-400141"
            },
            "channel_image": {
                "image": {
                    "image_nrrd": "http://www.virtualflybrain.org/data/VFB/i/0000/6235/VFB_00017894/volume.nrrd",
                    "image_swc": "http://www.virtualflybrain.org/data/VFB/i/0000/6235/VFB_00017894/volume.swc",
                    "template_channel": {
                        "symbol": "",
                        "iri": "http://virtualflybrain.org/reports/VFBc_00017894",
                        "types": [
                            "Entity",
                            "Individual",
                            "Template",
                            "VFB"
                        ],
                        "short_form": "VFBc_00017894",
                        "unique_facets": [],
                        "label": "JFRC2_template_c"
                    },
                    "index": [],
                    "template_anatomy": {
                        "symbol": "",
                        "iri": "http://virtualflybrain.org/reports/VFB_00017894",
                        "types": [
                            "Entity",
                            "Adult",
                            "Anatomy",
                            "Individual",
                            "Nervous_system",
                            "Template",
                            "VFB",
                            "has_image"
                        ],
                        "short_form": "VFB_00017894",
                        "unique_facets": [
                            "Adult",
                            "Nervous_system"
                        ],
                        "label": "adult brain template JFRC2"
                    },
                    "image_wlz": "http://www.virtualflybrain.org/data/VFB/i/0000/6235/VFB_00017894/volume.wlz",
                    "image_obj": "http://www.virtualflybrain.org/data/VFB/i/0000/6235/VFB_00017894/volume.obj",
                    "image_thumbnail": "http://www.virtualflybrain.org/data/VFB/i/0000/6235/VFB_00017894/thumbnail.png",
                    "image_folder": "http://www.virtualflybrain.org/data/VFB/i/0000/6235/VFB_00017894/"
                },
                "channel": {
                    "symbol": "",
                    "iri": "http://virtualflybrain.org/reports/VFBc_00006235",
                    "types": [
                        "Entity",
                        "Individual",
                        "VFB"
                    ],
                    "short_form": "VFBc_00006235",
                    "unique_facets": [],
                    "label": "fru-F-400141-c"
                },
                "imaging_technique": {
                    "symbol": "Confocal",
                    "iri": "http://purl.obolibrary.org/obo/FBbi_00000251",
                    "types": [
                        "Entity",
                        "Class",
                        "has_subClass"
                    ],
                    "short_form": "FBbi_00000251",
                    "unique_facets": [
                        "Class"
                    ],
                    "label": "confocal microscopy"
                }
            }
        },
        {
            "anatomy": {
                "symbol": "",
                "iri": "http://virtualflybrain.org/reports/VFB_00005179",
                "types": [
                    "Entity",
                    "Adult",
                    "Anatomy",
                    "Cell",
                    "Expression_pattern_fragment",
                    "Individual",
                    "Nervous_system",
                    "Neuron",
                    "VFB",
                    "has_image",
                    "FlyCircuit",
                    "NBLAST"
                ],
                "short_form": "VFB_00005179",
                "unique_facets": [
                    "Adult",
                    "Expression_pattern_fragment",
                    "Nervous_system",
                    "Neuron"
                ],
                "label": "Cha-F-200258"
            },
            "channel_image": {
                "image": {
                    "image_nrrd": "http://www.virtualflybrain.org/data/VFB/i/0000/5179/VFB_00017894/volume.nrrd",
                    "image_swc": "http://www.virtualflybrain.org/data/VFB/i/0000/5179/VFB_00017894/volume.swc",
                    "template_channel": {
                        "symbol": "",
                        "iri": "http://virtualflybrain.org/reports/VFBc_00017894",
                        "types": [
                            "Entity",
                            "Individual",
                            "Template",
                            "VFB"
                        ],
                        "short_form": "VFBc_00017894",
                        "unique_facets": [],
                        "label": "JFRC2_template_c"
                    },
                    "index": [],
                    "template_anatomy": {
                        "symbol": "",
                        "iri": "http://virtualflybrain.org/reports/VFB_00017894",
                        "types": [
                            "Entity",
                            "Adult",
                            "Anatomy",
                            "Individual",
                            "Nervous_system",
                            "Template",
                            "VFB",
                            "has_image"
                        ],
                        "short_form": "VFB_00017894",
                        "unique_facets": [
                            "Adult",
                            "Nervous_system"
                        ],
                        "label": "adult brain template JFRC2"
                    },
                    "image_wlz": "http://www.virtualflybrain.org/data/VFB/i/0000/5179/VFB_00017894/volume.wlz",
                    "image_obj": "http://www.virtualflybrain.org/data/VFB/i/0000/5179/VFB_00017894/volume.obj",
                    "image_thumbnail": "http://www.virtualflybrain.org/data/VFB/i/0000/5179/VFB_00017894/thumbnail.png",
                    "image_folder": "http://www.virtualflybrain.org/data/VFB/i/0000/5179/VFB_00017894/"
                },
                "channel": {
                    "symbol": "",
                    "iri": "http://virtualflybrain.org/reports/VFBc_00005179",
                    "types": [
                        "Entity",
                        "Individual",
                        "VFB"
                    ],
                    "short_form": "VFBc_00005179",
                    "unique_facets": [],
                    "label": "Cha-F-200258-c"
                },
                "imaging_technique": {
                    "symbol": "Confocal",
                    "iri": "http://purl.obolibrary.org/obo/FBbi_00000251",
                    "types": [
                        "Entity",
                        "Class",
                        "has_subClass"
                    ],
                    "short_form": "FBbi_00000251",
                    "unique_facets": [
                        "Class"
                    ],
                    "label": "confocal microscopy"
                }
            }
        },
        {
            "anatomy": {
                "symbol": "",
                "iri": "http://virtualflybrain.org/reports/VFB_00005179",
                "types": [
                    "Entity",
                    "Adult",
                    "Anatomy",
                    "Cell",
                    "Expression_pattern_fragment",
                    "Individual",
                    "Nervous_system",
                    "Neuron",
                    "VFB",
                    "has_image",
                    "FlyCircuit",
                    "NBLAST"
                ],
                "short_form": "VFB_00005179",
                "unique_facets": [
                    "Adult",
                    "Expression_pattern_fragment",
                    "Nervous_system",
                    "Neuron"
                ],
                "label": "Cha-F-200258"
            },
            "channel_image": {
                "image": {
                    "image_nrrd": "http://www.virtualflybrain.org/data/VFB/i/0000/5179/VFB_00101567/volume.nrrd",
                    "image_swc": "http://www.virtualflybrain.org/data/VFB/i/0000/5179/VFB_00101567/volume.swc",
                    "template_channel": {
                        "symbol": "",
                        "iri": "http://virtualflybrain.org/reports/VFBc_00101567",
                        "types": [
                            "Entity",
                            "Individual",
                            "Template"
                        ],
                        "short_form": "VFBc_00101567",
                        "unique_facets": [],
                        "label": "JRC2018Unisex_c"
                    },
                    "index": [],
                    "template_anatomy": {
                        "symbol": "",
                        "iri": "http://virtualflybrain.org/reports/VFB_00101567",
                        "types": [
                            "Entity",
                            "Adult",
                            "Anatomy",
                            "Individual",
                            "Nervous_system",
                            "Template",
                            "has_image"
                        ],
                        "short_form": "VFB_00101567",
                        "unique_facets": [
                            "Adult",
                            "Nervous_system"
                        ],
                        "label": "JRC2018Unisex"
                    },
                    "image_wlz": "http://www.virtualflybrain.org/data/VFB/i/0000/5179/VFB_00101567/volume.wlz",
                    "image_obj": "http://www.virtualflybrain.org/data/VFB/i/0000/5179/VFB_00101567/volume.obj",
                    "image_thumbnail": "http://www.virtualflybrain.org/data/VFB/i/0000/5179/VFB_00101567/thumbnail.png",
                    "image_folder": "http://www.virtualflybrain.org/data/VFB/i/0000/5179/VFB_00101567/"
                },
                "channel": {
                    "symbol": "",
                    "iri": "http://virtualflybrain.org/reports/VFBc_00005179",
                    "types": [
                        "Entity",
                        "Individual",
                        "VFB"
                    ],
                    "short_form": "VFBc_00005179",
                    "unique_facets": [],
                    "label": "Cha-F-200258-c"
                },
                "imaging_technique": {
                    "symbol": "Confocal",
                    "iri": "http://purl.obolibrary.org/obo/FBbi_00000251",
                    "types": [
                        "Entity",
                        "Class",
                        "has_subClass"
                    ],
                    "short_form": "FBbi_00000251",
                    "unique_facets": [
                        "Class"
                    ],
                    "label": "confocal microscopy"
                }
            }
        }
    ],
    "pub_syn": [
        {
            "synonym": {
                "scope": "has_broad_synonym",
                "label": "adult fruitless mAL neuron",
                "type": ""
            },
            "pub": {
                "core": {
                    "symbol": "",
                    "iri": "http://flybase.org/reports/FBrf0211884",
                    "types": [
                        "Entity",
                        "Individual",
                        "pub"
                    ],
                    "short_form": "FBrf0211884",
                    "unique_facets": [
                        "pub"
                    ],
                    "label": "Yu et al., 2010, Curr. Biol. 20(18): 1602--1614"
                },
                "FlyBase": "FBrf0211884",
                "PubMed": "20832315",
                "DOI": "10.1016/j.cub.2010.08.025"
            }
        },
        {
            "synonym": {
                "scope": "has_exact_synonym",
                "label": "fru-aDT-b",
                "type": ""
            },
            "pub": {
                "core": {
                    "symbol": "",
                    "iri": "http://flybase.org/reports/FBrf0211926",
                    "types": [
                        "Entity",
                        "Individual",
                        "pub"
                    ],
                    "short_form": "FBrf0211926",
                    "unique_facets": [
                        "pub"
                    ],
                    "label": "Cachero et al., 2010, Curr. Biol. 20(18): 1589--1601"
                },
                "FlyBase": "FBrf0211926",
                "PubMed": "20832311",
                "DOI": "10.1016/j.cub.2010.07.045"
            }
        },
        {
            "synonym": {
                "scope": "has_broad_synonym",
                "label": "adult fru-mAL neuron",
                "type": ""
            },
            "pub": {
                "core": {
                    "symbol": "",
                    "iri": "http://flybase.org/reports/FBrf0211884",
                    "types": [
                        "Entity",
                        "Individual",
                        "pub"
                    ],
                    "short_form": "FBrf0211884",
                    "unique_facets": [
                        "pub"
                    ],
                    "label": "Yu et al., 2010, Curr. Biol. 20(18): 1602--1614"
                },
                "FlyBase": "FBrf0211884",
                "PubMed": "20832315",
                "DOI": "10.1016/j.cub.2010.08.025"
            }
        },
        {
            "synonym": {
                "scope": "has_exact_synonym",
                "label": "adult fruitless aDT2 neuron",
                "type": ""
            },
            "pub": {
                "core": {
                    "symbol": "",
                    "iri": "http://flybase.org/reports/FBrf0211884",
                    "types": [
                        "Entity",
                        "Individual",
                        "pub"
                    ],
                    "short_form": "FBrf0211884",
                    "unique_facets": [
                        "pub"
                    ],
                    "label": "Yu et al., 2010, Curr. Biol. 20(18): 1602--1614"
                },
                "FlyBase": "FBrf0211884",
                "PubMed": "20832315",
                "DOI": "10.1016/j.cub.2010.08.025"
            }
        },
        {
            "synonym": {
                "scope": "has_broad_synonym",
                "label": "adult fru-mAL neuron",
                "type": ""
            },
            "pub": {
                "core": {
                    "symbol": "",
                    "iri": "http://flybase.org/reports/FBrf0128543",
                    "types": [
                        "Entity",
                        "Individual",
                        "pub"
                    ],
                    "short_form": "FBrf0128543",
                    "unique_facets": [
                        "pub"
                    ],
                    "label": "Lee et al., 2000, J. Neurobiol. 43(4): 404--426"
                },
                "FlyBase": "FBrf0128543",
                "PubMed": "10861565",
                "DOI": "10.1002/1097-4695(20000615)43:4<404::aid-neu8>3.0.co;2-d"
            }
        }
    ],
    "def_pubs": [
        {
            "core": {
                "symbol": "",
                "iri": "http://flybase.org/reports/FBrf0205974",
                "types": [
                    "Entity",
                    "Individual",
                    "pub"
                ],
                "short_form": "FBrf0205974",
                "unique_facets": [
                    "pub"
                ],
                "label": "Kimura et al., 2008, Neuron 59(5): 759--769"
            },
            "FlyBase": "FBrf0205974",
            "PubMed": "18786359",
            "DOI": "10.1016/j.neuron.2008.06.007"
        },
        {
            "core": {
                "symbol": "",
                "iri": "http://flybase.org/reports/FBrf0211884",
                "types": [
                    "Entity",
                    "Individual",
                    "pub"
                ],
                "short_form": "FBrf0211884",
                "unique_facets": [
                    "pub"
                ],
                "label": "Yu et al., 2010, Curr. Biol. 20(18): 1602--1614"
            },
            "FlyBase": "FBrf0211884",
            "PubMed": "20832315",
            "DOI": "10.1016/j.cub.2010.08.025"
        },
        {
            "core": {
                "symbol": "",
                "iri": "http://flybase.org/reports/FBrf0211926",
                "types": [
                    "Entity",
                    "Individual",
                    "pub"
                ],
                "short_form": "FBrf0211926",
                "unique_facets": [
                    "pub"
                ],
                "label": "Cachero et al., 2010, Curr. Biol. 20(18): 1589--1601"
            },
            "FlyBase": "FBrf0211926",
            "PubMed": "20832311",
            "DOI": "10.1016/j.cub.2010.07.045"
        },
        {
            "core": {
                "symbol": "",
                "iri": "http://flybase.org/reports/FBrf0221438",
                "types": [
                    "Entity",
                    "Individual",
                    "pub"
                ],
                "short_form": "FBrf0221438",
                "unique_facets": [
                    "pub"
                ],
                "label": "Ito et al., 2013, Curr. Biol. 23(8): 644--655"
            },
            "FlyBase": "FBrf0221438",
            "PubMed": "23541729",
            "DOI": "10.1016/j.cub.2013.03.015"
        },
        {
            "core": {
                "symbol": "",
                "iri": "http://flybase.org/reports/FBrf0221412",
                "types": [
                    "Entity",
                    "Individual",
                    "pub"
                ],
                "short_form": "FBrf0221412",
                "unique_facets": [
                    "pub"
                ],
                "label": "Yu et al., 2013, Curr. Biol. 23(8): 633--643"
            },
            "FlyBase": "FBrf0221412",
            "PubMed": "23541733",
            "DOI": "10.1016/j.cub.2013.02.057"
        }
    ]
}