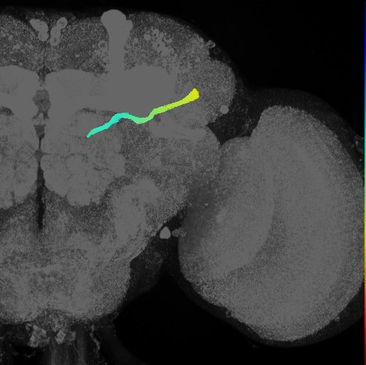
adult mediolateral antennal lobe tract [FBbt_00003984]

Tract that arises from the posterior dorsomedial antennal lobe and shares the same root with the medial antennal lobe tract (mALT) and transverse antennal lobe tract (tALT) (dorsomedial root). It connects the antennal lobe and the lateral horn directly, bypassing the mushroom body main calyx. It contains axons of antennal lobe projection neurons, some of which terminate in the lateral accessory calyx (Yagi et al., 2016). Neuronal fibers of the mlALT run together with the medial antennal lobe tract (mALT) and separate from it at the level of the ventrolateral surface of the fan-shaped body, turn laterally, run below the mushroom body pedunculus and project to the lateral horn. It demarcates the boundaries of the fan-shaped body (anterior region), lateral accessory lobe (posterior region), epaulette (superior region), inferior clamp (anterior-superior region) and mushroom body pedunculus (inferior region). It is formed by axons of the BAla1 lineage (Wong et al., 2013). One smaller tract (ml4ALT) branches from the mlALT at the mushroom body peduncle, runs posteriorly through the peduncle to terminate in the mushroom body calyx. Some of the projection neurons that fasciculate with the mlALT send collateral branches to the posterior lateral protocerebrum (PLP) via the lateral section of the posterior lateral fascicle (PLF) and to the ring neuropil via the superior section of the PLF (Tanaka et al., 2012).

Open adult mediolateral antennal lobe tract in VFB

Example Images

adult mediolateral antennal lobe tract

VFB Term Json

{
    "term": {
        "core": {
            "iri": "http://purl.obolibrary.org/obo/FBbt_00003984",
            "symbol": "",
            "types": [
                "Entity",
                "Adult",
                "Anatomy",
                "Class",
                "Nervous_system",
                "Neuron_projection_bundle"
            ],
            "short_form": "FBbt_00003984",
            "label": "adult mediolateral antennal lobe tract"
        },
        "description": [
            "Tract that arises from the posterior dorsomedial antennal lobe and shares the same root with the medial antennal lobe tract (mALT) and transverse antennal lobe tract (tALT) (dorsomedial root). It connects the antennal lobe and the lateral horn directly, bypassing the mushroom body main calyx. It contains axons of antennal lobe projection neurons, some of which terminate in the lateral accessory calyx (Yagi et al., 2016). Neuronal fibers of the mlALT run together with the medial antennal lobe tract (mALT) and separate from it at the level of the ventrolateral surface of the fan-shaped body, turn laterally, run below the mushroom body pedunculus and project to the lateral horn. It demarcates the boundaries of the fan-shaped body (anterior region), lateral accessory lobe (posterior region), epaulette (superior region), inferior clamp (anterior-superior region) and mushroom body pedunculus (inferior region). It is formed by axons of the BAla1 lineage (Wong et al., 2013)."
        ],
        "comment": [
            "One smaller tract (ml4ALT) branches from the mlALT at the mushroom body peduncle, runs posteriorly through the peduncle to terminate in the mushroom body calyx. Some of the projection neurons that fasciculate with the mlALT send collateral branches to the posterior lateral protocerebrum (PLP) via the lateral section of the posterior lateral fascicle (PLF) and to the ring neuropil via the superior section of the PLF (Tanaka et al., 2012)."
        ]
    },
    "query": "Get JSON for Class",
    "version": "44725ae",
    "parents": [
        {
            "symbol": "",
            "iri": "http://purl.obolibrary.org/obo/FBbt_00100099",
            "types": [
                "Entity",
                "Adult",
                "Anatomy",
                "Class",
                "Nervous_system",
                "Neuron_projection_bundle"
            ],
            "short_form": "FBbt_00100099",
            "label": "adult antennal lobe tract"
        }
    ],
    "relationships": [
        {
            "relation": {
                "iri": "http://purl.obolibrary.org/obo/RO_0002150",
                "label": "continuous with",
                "type": "continuous_with"
            },
            "object": {
                "symbol": "",
                "iri": "http://purl.obolibrary.org/obo/FBbt_00003985",
                "types": [
                    "Entity",
                    "Adult",
                    "Anatomy",
                    "Class",
                    "Nervous_system",
                    "Neuron_projection_bundle"
                ],
                "short_form": "FBbt_00003985",
                "label": "adult medial antennal lobe tract"
            }
        },
        {
            "relation": {
                "iri": "http://purl.obolibrary.org/obo/RO_0002134",
                "label": "innervates",
                "type": "innervates"
            },
            "object": {
                "symbol": "",
                "iri": "http://purl.obolibrary.org/obo/FBbt_00048332",
                "types": [
                    "Entity",
                    "Adult",
                    "Anatomy",
                    "Class",
                    "Nervous_system",
                    "Synaptic_neuropil",
                    "Synaptic_neuropil_subdomain"
                ],
                "short_form": "FBbt_00048332",
                "label": "adult mushroom body lateral accessory calyx"
            }
        },
        {
            "relation": {
                "iri": "http://purl.obolibrary.org/obo/RO_0002134",
                "label": "innervates",
                "type": "innervates"
            },
            "object": {
                "symbol": "",
                "iri": "http://purl.obolibrary.org/obo/FBbt_00007053",
                "types": [
                    "Entity",
                    "Adult",
                    "Anatomy",
                    "Class",
                    "Nervous_system",
                    "Synaptic_neuropil",
                    "Synaptic_neuropil_domain"
                ],
                "short_form": "FBbt_00007053",
                "label": "adult lateral horn"
            }
        },
        {
            "relation": {
                "iri": "http://purl.obolibrary.org/obo/BFO_0000050",
                "label": "is part of",
                "type": "part_of"
            },
            "object": {
                "symbol": "",
                "iri": "http://purl.obolibrary.org/obo/FBbt_00110636",
                "types": [
                    "Entity",
                    "Adult",
                    "Anatomy",
                    "Class",
                    "Ganglion",
                    "Nervous_system"
                ],
                "short_form": "FBbt_00110636",
                "label": "adult cerebral ganglion"
            }
        }
    ],
    "xrefs": [],
    "anatomy_channel_image": [
        {
            "anatomy": {
                "symbol": "",
                "iri": "http://virtualflybrain.org/reports/VFB_00030853",
                "types": [
                    "Entity",
                    "Adult",
                    "Anatomy",
                    "Individual",
                    "Nervous_system",
                    "Neuron_projection_bundle",
                    "VFB",
                    "has_image"
                ],
                "short_form": "VFB_00030853",
                "label": "mediolateral antennal lobe tract on adult brain template Ito2014"
            },
            "channel_image": {
                "image": {
                    "template_channel": {
                        "symbol": "",
                        "iri": "http://virtualflybrain.org/reports/VFBc_00030786",
                        "types": [
                            "Entity",
                            "Individual",
                            "Template",
                            "VFB"
                        ],
                        "short_form": "VFBc_00030786",
                        "label": "BrainName standard - Ito half brain c"
                    },
                    "index": [
                        305
                    ],
                    "template_anatomy": {
                        "symbol": "",
                        "iri": "http://virtualflybrain.org/reports/VFB_00030786",
                        "types": [
                            "Entity",
                            "Adult",
                            "Anatomy",
                            "Individual",
                            "Nervous_system",
                            "Template",
                            "VFB",
                            "has_image"
                        ],
                        "short_form": "VFB_00030786",
                        "label": "adult brain template Ito2014"
                    },
                    "image_folder": "http://www.virtualflybrain.org/data/VFB/i/0003/0853/"
                },
                "channel": {
                    "symbol": "",
                    "iri": "http://virtualflybrain.org/reports/VFBc_00030853",
                    "types": [
                        "Entity",
                        "Individual",
                        "VFB"
                    ],
                    "short_form": "VFBc_00030853",
                    "label": "mlALT - painted domain, BrainName pub_c"
                },
                "imaging_technique": {
                    "symbol": "",
                    "iri": "http://purl.obolibrary.org/obo/FBbi_00000224",
                    "types": [
                        "Entity",
                        "Class"
                    ],
                    "short_form": "FBbi_00000224",
                    "label": "computer graphic"
                }
            }
        }
    ],
    "pub_syn": [
        {
            "synonym": {
                "scope": "has_exact_synonym",
                "label": "medial antennocerebral tract",
                "type": ""
            },
            "pub": {
                "core": {
                    "symbol": "",
                    "iri": "http://flybase.org/reports/Unattributed",
                    "types": [
                        "Entity",
                        "Individual",
                        "pub"
                    ],
                    "short_form": "Unattributed",
                    "label": ""
                },
                "FlyBase": "",
                "PubMed": "",
                "DOI": ""
            }
        },
        {
            "synonym": {
                "scope": "has_exact_synonym",
                "label": "mACT",
                "type": ""
            },
            "pub": {
                "core": {
                    "symbol": "",
                    "iri": "http://flybase.org/reports/Unattributed",
                    "types": [
                        "Entity",
                        "Individual",
                        "pub"
                    ],
                    "short_form": "Unattributed",
                    "label": ""
                },
                "FlyBase": "",
                "PubMed": "",
                "DOI": ""
            }
        },
        {
            "synonym": {
                "scope": "has_exact_synonym",
                "label": "middle antennocerebral tract",
                "type": ""
            },
            "pub": {
                "core": {
                    "symbol": "",
                    "iri": "http://flybase.org/reports/Unattributed",
                    "types": [
                        "Entity",
                        "Individual",
                        "pub"
                    ],
                    "short_form": "Unattributed",
                    "label": ""
                },
                "FlyBase": "",
                "PubMed": "",
                "DOI": ""
            }
        },
        {
            "synonym": {
                "scope": "has_exact_synonym",
                "label": "mlAPT",
                "type": ""
            },
            "pub": {
                "core": {
                    "symbol": "",
                    "iri": "http://flybase.org/reports/Unattributed",
                    "types": [
                        "Entity",
                        "Individual",
                        "pub"
                    ],
                    "short_form": "Unattributed",
                    "label": ""
                },
                "FlyBase": "",
                "PubMed": "",
                "DOI": ""
            }
        },
        {
            "synonym": {
                "scope": "has_exact_synonym",
                "label": "mlALT",
                "type": ""
            },
            "pub": {
                "core": {
                    "symbol": "",
                    "iri": "http://flybase.org/reports/FBrf0224194",
                    "types": [
                        "Entity",
                        "Individual",
                        "pub"
                    ],
                    "short_form": "FBrf0224194",
                    "label": "Ito et al., 2014, Neuron 81(4): 755--765"
                },
                "FlyBase": "FBrf0224194",
                "PubMed": "24559671",
                "DOI": "10.1016/j.neuron.2013.12.017"
            }
        },
        {
            "synonym": {
                "scope": "has_exact_synonym",
                "label": "middle antenno-cerebral tract",
                "type": ""
            },
            "pub": {
                "core": {
                    "symbol": "",
                    "iri": "http://flybase.org/reports/Unattributed",
                    "types": [
                        "Entity",
                        "Individual",
                        "pub"
                    ],
                    "short_form": "Unattributed",
                    "label": ""
                },
                "FlyBase": "",
                "PubMed": "",
                "DOI": ""
            }
        },
        {
            "synonym": {
                "scope": "has_exact_synonym",
                "label": "middle antennoglomerular tract",
                "type": ""
            },
            "pub": {
                "core": {
                    "symbol": "",
                    "iri": "http://flybase.org/reports/Unattributed",
                    "types": [
                        "Entity",
                        "Individual",
                        "pub"
                    ],
                    "short_form": "Unattributed",
                    "label": ""
                },
                "FlyBase": "",
                "PubMed": "",
                "DOI": ""
            }
        },
        {
            "synonym": {
                "scope": "has_exact_synonym",
                "label": "medial antenno-cerebral tract",
                "type": ""
            },
            "pub": {
                "core": {
                    "symbol": "",
                    "iri": "http://flybase.org/reports/Unattributed",
                    "types": [
                        "Entity",
                        "Individual",
                        "pub"
                    ],
                    "short_form": "Unattributed",
                    "label": ""
                },
                "FlyBase": "",
                "PubMed": "",
                "DOI": ""
            }
        },
        {
            "synonym": {
                "scope": "has_exact_synonym",
                "label": "medial antennocommissural tract",
                "type": ""
            },
            "pub": {
                "core": {
                    "symbol": "",
                    "iri": "http://flybase.org/reports/FBrf0098811",
                    "types": [
                        "Entity",
                        "Individual",
                        "pub"
                    ],
                    "short_form": "FBrf0098811",
                    "label": "Ito et al., 1997, Cell Tissue Res. 290(1): 1--10"
                },
                "FlyBase": "",
                "PubMed": "9377629",
                "DOI": "10.1007/s004410050901"
            }
        },
        {
            "synonym": {
                "scope": "has_exact_synonym",
                "label": "median antenno-cerebral tract",
                "type": ""
            },
            "pub": {
                "core": {
                    "symbol": "",
                    "iri": "http://flybase.org/reports/Unattributed",
                    "types": [
                        "Entity",
                        "Individual",
                        "pub"
                    ],
                    "short_form": "Unattributed",
                    "label": ""
                },
                "FlyBase": "",
                "PubMed": "",
                "DOI": ""
            }
        }
    ],
    "def_pubs": [
        {
            "core": {
                "symbol": "",
                "iri": "http://flybase.org/reports/FBrf0219793",
                "types": [
                    "Entity",
                    "Individual",
                    "pub"
                ],
                "short_form": "FBrf0219793",
                "label": "Tanaka et al., 2012, J. Comp. Neurol. 520(18): 4131--4140"
            },
            "FlyBase": "",
            "PubMed": "22592823",
            "DOI": "10.1002/cne.23149"
        },
        {
            "core": {
                "symbol": "",
                "iri": "http://flybase.org/reports/FBrf0219809",
                "types": [
                    "Entity",
                    "Individual",
                    "pub"
                ],
                "short_form": "FBrf0219809",
                "label": "Tanaka et al., 2012, J. Comp. Neurol. 520(18): 4067--4130"
            },
            "FlyBase": "",
            "PubMed": "22592945",
            "DOI": "10.1002/cne.23142"
        },
        {
            "core": {
                "symbol": "",
                "iri": "http://flybase.org/reports/FBrf0224194",
                "types": [
                    "Entity",
                    "Individual",
                    "pub"
                ],
                "short_form": "FBrf0224194",
                "label": "Ito et al., 2014, Neuron 81(4): 755--765"
            },
            "FlyBase": "FBrf0224194",
            "PubMed": "24559671",
            "DOI": "10.1016/j.neuron.2013.12.017"
        },
        {
            "core": {
                "symbol": "",
                "iri": "http://flybase.org/reports/FBrf0051437",
                "types": [
                    "Entity",
                    "Individual",
                    "pub"
                ],
                "short_form": "FBrf0051437",
                "label": "Stocker et al., 1990, Cell Tissue Res. 262(1): 9--34"
            },
            "FlyBase": "",
            "PubMed": "2124174",
            "DOI": "10.1007/BF00327741"
        },
        {
            "core": {
                "symbol": "",
                "iri": "http://flybase.org/reports/FBrf0205263",
                "types": [
                    "Entity",
                    "Individual",
                    "pub"
                ],
                "short_form": "FBrf0205263",
                "label": "Tanaka et al., 2008, J. Comp. Neurol. 508(5): 711--755"
            },
            "FlyBase": "",
            "PubMed": "18395827",
            "DOI": "10.1002/cne.21692"
        },
        {
            "core": {
                "symbol": "",
                "iri": "http://flybase.org/reports/FBrf0223298",
                "types": [
                    "Entity",
                    "Individual",
                    "pub"
                ],
                "short_form": "FBrf0223298",
                "label": "Wong et al., 2013, Dev. Biol. 384(2): 258--289"
            },
            "FlyBase": "",
            "PubMed": "23872236",
            "DOI": "10.1016/j.ydbio.2013.07.009"
        }
    ]
}