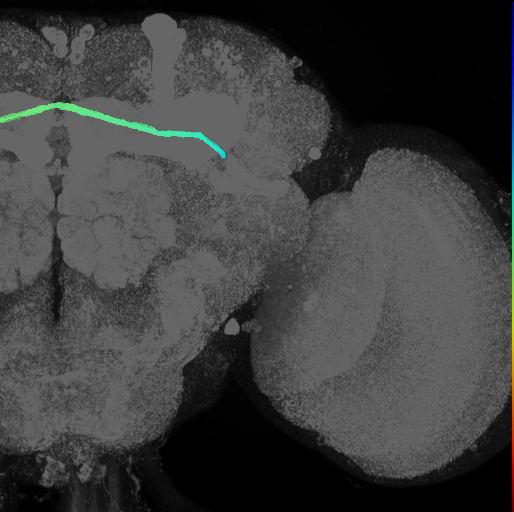
superior ellipsoid commissure [FBbt_00100354]

Commissure lying above the ellipsoid body connecting the superior medial protocerebrum (SMP), superior intermediate protocerebrum (SIP), superior clamp (SCL) and ventrolateral protocerebrum (Ito et al., 2014). It demarcates the boundaries of the ellipsoid body (superior region), SMP (inferior region), SIP (inferior region), SCL (inferior region) and inferior clamp (superior region) (Ito et al., 2014).

Open superior ellipsoid commissure in VFB

Example Images

superior ellipsoid commissure

VFB Term Json

{
    "term": {
        "core": {
            "iri": "http://purl.obolibrary.org/obo/FBbt_00100354",
            "symbol": "",
            "types": [
                "Entity",
                "Adult",
                "Anatomy",
                "Class",
                "Nervous_system",
                "Neuron_projection_bundle"
            ],
            "short_form": "FBbt_00100354",
            "label": "superior ellipsoid commissure"
        },
        "description": [
            "Commissure lying above the ellipsoid body connecting the superior medial protocerebrum (SMP), superior intermediate protocerebrum (SIP), superior clamp (SCL) and ventrolateral protocerebrum (Ito et al., 2014). It demarcates the boundaries of the ellipsoid body (superior region), SMP (inferior region), SIP (inferior region), SCL (inferior region) and inferior clamp (superior region) (Ito et al., 2014)."
        ],
        "comment": []
    },
    "query": "Get JSON for Class",
    "version": "44725ae",
    "parents": [
        {
            "symbol": "",
            "iri": "http://purl.obolibrary.org/obo/FBbt_00049996",
            "types": [
                "Entity",
                "Anatomy",
                "Class",
                "Nervous_system",
                "Neuron_projection_bundle"
            ],
            "short_form": "FBbt_00049996",
            "label": "brain commissure"
        }
    ],
    "relationships": [
        {
            "relation": {
                "iri": "http://purl.obolibrary.org/obo/BFO_0000050",
                "label": "is part of",
                "type": "part_of"
            },
            "object": {
                "symbol": "",
                "iri": "http://purl.obolibrary.org/obo/FBbt_00003624",
                "types": [
                    "Entity",
                    "Adult",
                    "Anatomy",
                    "Class",
                    "Nervous_system"
                ],
                "short_form": "FBbt_00003624",
                "label": "adult brain"
            }
        },
        {
            "relation": {
                "iri": "http://purl.obolibrary.org/obo/RO_0002134",
                "label": "innervates",
                "type": "innervates"
            },
            "object": {
                "symbol": "",
                "iri": "http://purl.obolibrary.org/obo/FBbt_00040048",
                "types": [
                    "Entity",
                    "Adult",
                    "Anatomy",
                    "Class",
                    "Nervous_system",
                    "Synaptic_neuropil",
                    "Synaptic_neuropil_subdomain"
                ],
                "short_form": "FBbt_00040048",
                "label": "superior clamp"
            }
        },
        {
            "relation": {
                "iri": "http://purl.obolibrary.org/obo/RO_0002134",
                "label": "innervates",
                "type": "innervates"
            },
            "object": {
                "symbol": "",
                "iri": "http://purl.obolibrary.org/obo/FBbt_00007055",
                "types": [
                    "Entity",
                    "Adult",
                    "Anatomy",
                    "Class",
                    "Nervous_system",
                    "Synaptic_neuropil",
                    "Synaptic_neuropil_domain"
                ],
                "short_form": "FBbt_00007055",
                "label": "superior medial protocerebrum"
            }
        },
        {
            "relation": {
                "iri": "http://purl.obolibrary.org/obo/RO_0002134",
                "label": "innervates",
                "type": "innervates"
            },
            "object": {
                "symbol": "",
                "iri": "http://purl.obolibrary.org/obo/FBbt_00045032",
                "types": [
                    "Entity",
                    "Adult",
                    "Anatomy",
                    "Class",
                    "Nervous_system",
                    "Synaptic_neuropil",
                    "Synaptic_neuropil_domain"
                ],
                "short_form": "FBbt_00045032",
                "label": "superior intermediate protocerebrum"
            }
        },
        {
            "relation": {
                "iri": "http://purl.obolibrary.org/obo/RO_0002134",
                "label": "innervates",
                "type": "innervates"
            },
            "object": {
                "symbol": "",
                "iri": "http://purl.obolibrary.org/obo/FBbt_00007058",
                "types": [
                    "Entity",
                    "Adult",
                    "Anatomy",
                    "Class",
                    "Nervous_system",
                    "Synaptic_neuropil",
                    "Synaptic_neuropil_block"
                ],
                "short_form": "FBbt_00007058",
                "label": "ventrolateral protocerebrum"
            }
        }
    ],
    "xrefs": [],
    "anatomy_channel_image": [
        {
            "anatomy": {
                "symbol": "",
                "iri": "http://virtualflybrain.org/reports/VFB_00030861",
                "types": [
                    "Entity",
                    "Adult",
                    "Anatomy",
                    "Individual",
                    "Nervous_system",
                    "Neuron_projection_bundle",
                    "VFB",
                    "has_image"
                ],
                "short_form": "VFB_00030861",
                "label": "superior ellipsoid commissure on adult brain template Ito2014"
            },
            "channel_image": {
                "image": {
                    "template_channel": {
                        "symbol": "",
                        "iri": "http://virtualflybrain.org/reports/VFBc_00030786",
                        "types": [
                            "Entity",
                            "Individual",
                            "Template",
                            "VFB"
                        ],
                        "short_form": "VFBc_00030786",
                        "label": "BrainName standard - Ito half brain c"
                    },
                    "index": [
                        317
                    ],
                    "template_anatomy": {
                        "symbol": "",
                        "iri": "http://virtualflybrain.org/reports/VFB_00030786",
                        "types": [
                            "Entity",
                            "Adult",
                            "Anatomy",
                            "Individual",
                            "Nervous_system",
                            "Template",
                            "VFB",
                            "has_image"
                        ],
                        "short_form": "VFB_00030786",
                        "label": "adult brain template Ito2014"
                    },
                    "image_folder": "http://www.virtualflybrain.org/data/VFB/i/0003/0861/"
                },
                "channel": {
                    "symbol": "",
                    "iri": "http://virtualflybrain.org/reports/VFBc_00030861",
                    "types": [
                        "Entity",
                        "Individual",
                        "VFB"
                    ],
                    "short_form": "VFBc_00030861",
                    "label": "SEC_sAVLPC - painted domain, BrainName pub_c"
                },
                "imaging_technique": {
                    "symbol": "",
                    "iri": "http://purl.obolibrary.org/obo/FBbi_00000224",
                    "types": [
                        "Entity",
                        "Class"
                    ],
                    "short_form": "FBbi_00000224",
                    "label": "computer graphic"
                }
            }
        }
    ],
    "pub_syn": [
        {
            "synonym": {
                "scope": "has_related_synonym",
                "label": "supra-ellipsoid tract",
                "type": ""
            },
            "pub": {
                "core": {
                    "symbol": "",
                    "iri": "http://flybase.org/reports/Unattributed",
                    "types": [
                        "Entity",
                        "Individual",
                        "pub"
                    ],
                    "short_form": "Unattributed",
                    "label": ""
                },
                "FlyBase": "",
                "PubMed": "",
                "DOI": ""
            }
        },
        {
            "synonym": {
                "scope": "has_exact_synonym",
                "label": "SEC",
                "type": ""
            },
            "pub": {
                "core": {
                    "symbol": "",
                    "iri": "http://flybase.org/reports/FBrf0224194",
                    "types": [
                        "Entity",
                        "Individual",
                        "pub"
                    ],
                    "short_form": "FBrf0224194",
                    "label": "Ito et al., 2014, Neuron 81(4): 755--765"
                },
                "FlyBase": "FBrf0224194",
                "PubMed": "24559671",
                "DOI": "10.1016/j.neuron.2013.12.017"
            }
        },
        {
            "synonym": {
                "scope": "has_exact_synonym",
                "label": "supra-ellipsoid body commissure",
                "type": ""
            },
            "pub": {
                "core": {
                    "symbol": "",
                    "iri": "http://flybase.org/reports/FBrf0223329",
                    "types": [
                        "Entity",
                        "Individual",
                        "pub"
                    ],
                    "short_form": "FBrf0223329",
                    "label": "Lovick et al., 2013, Dev. Biol. 384(2): 228--257"
                },
                "FlyBase": "",
                "PubMed": "23880429",
                "DOI": "10.1016/j.ydbio.2013.07.008"
            }
        },
        {
            "synonym": {
                "scope": "has_related_synonym",
                "label": "supra ellipsoid tract",
                "type": ""
            },
            "pub": {
                "core": {
                    "symbol": "",
                    "iri": "http://flybase.org/reports/Unattributed",
                    "types": [
                        "Entity",
                        "Individual",
                        "pub"
                    ],
                    "short_form": "Unattributed",
                    "label": ""
                },
                "FlyBase": "",
                "PubMed": "",
                "DOI": ""
            }
        }
    ],
    "def_pubs": [
        {
            "core": {
                "symbol": "",
                "iri": "http://flybase.org/reports/FBrf0224194",
                "types": [
                    "Entity",
                    "Individual",
                    "pub"
                ],
                "short_form": "FBrf0224194",
                "label": "Ito et al., 2014, Neuron 81(4): 755--765"
            },
            "FlyBase": "FBrf0224194",
            "PubMed": "24559671",
            "DOI": "10.1016/j.neuron.2013.12.017"
        }
    ]
}