prow [FBbt_00040051]

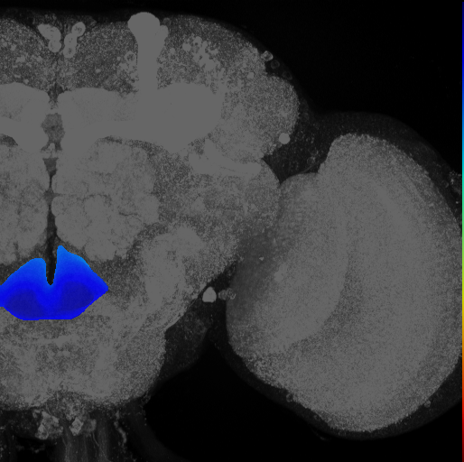
Anteriormost and superior synaptic neuropil domain below the esophagus (Ito et al., 2014). It lies inferior and anterior to the opening of the esophageal foramen (Ito et al., 2014). It houses the superior pharyngeal sensory center (SPhS), containing the terminals of peripheral axons from the pharyngeal nerve (Ito et al., 2014). It forms the ventral part of the tritocerebrum, developing from the ventromedial domain of the larval tritocerebrum (Hartenstein et al., 2018). The name ‘prow’ was taken from the anterior-most part of the hull of a boat. It is part of the ventral cerebral ganglion, which is included in the adult subesophageal zone (old subesophageal ganglion, or SOG) (Ito et al., 2014). The prow also corresponds to the dorsoanterior part of the subesophageal ganglion (SOG) of Chiang et al., (2011) and to the part of the anterior periesophageal neuropils (Ito et al., 2014).

Open prow in VFB

Example Images

prow prow prow prow

VFB Term Json

{
    "term": {
        "core": {
            "iri": "http://purl.obolibrary.org/obo/FBbt_00040051",
            "symbol": "",
            "types": [
                "Entity",
                "Adult",
                "Anatomy",
                "Class",
                "Nervous_system",
                "Synaptic_neuropil",
                "Synaptic_neuropil_domain"
            ],
            "short_form": "FBbt_00040051",
            "label": "prow"
        },
        "description": [
            "Anteriormost and superior synaptic neuropil domain below the esophagus (Ito et al., 2014). It lies inferior and anterior to the opening of the esophageal foramen (Ito et al., 2014). It houses the superior pharyngeal sensory center (SPhS), containing the terminals of peripheral axons from the pharyngeal nerve (Ito et al., 2014). It forms the ventral part of the tritocerebrum, developing from the ventromedial domain of the larval tritocerebrum (Hartenstein et al., 2018)."
        ],
        "comment": [
            "The name 'prow' was taken from the anterior-most part of the hull of a boat. It is part of the ventral cerebral ganglion, which is included in the adult subesophageal zone (old subesophageal ganglion, or SOG) (Ito et al., 2014). The prow also corresponds to the dorsoanterior part of the subesophageal ganglion (SOG) of Chiang et al., (2011) and to the part of the anterior periesophageal neuropils (Ito et al., 2014)."
        ]
    },
    "query": "Get JSON for Class",
    "version": "44725ae",
    "parents": [
        {
            "symbol": "",
            "iri": "http://purl.obolibrary.org/obo/FBbt_00040007",
            "types": [
                "Entity",
                "Anatomy",
                "Class",
                "Nervous_system",
                "Synaptic_neuropil"
            ],
            "short_form": "FBbt_00040007",
            "label": "synaptic neuropil domain"
        }
    ],
    "relationships": [
        {
            "relation": {
                "iri": "http://purl.obolibrary.org/obo/RO_0002202",
                "label": "develops from",
                "type": "develops_from"
            },
            "object": {
                "symbol": "",
                "iri": "http://purl.obolibrary.org/obo/FBbt_00007720",
                "types": [
                    "Entity",
                    "Anatomy",
                    "Class",
                    "Larva",
                    "Nervous_system"
                ],
                "short_form": "FBbt_00007720",
                "label": "ventromedial domain of larval tritocerebrum"
            }
        },
        {
            "relation": {
                "iri": "http://purl.obolibrary.org/obo/BFO_0000050",
                "label": "is part of",
                "type": "part_of"
            },
            "object": {
                "symbol": "",
                "iri": "http://purl.obolibrary.org/obo/FBbt_00007147",
                "types": [
                    "Entity",
                    "Adult",
                    "Anatomy",
                    "Class",
                    "Nervous_system",
                    "Neuromere"
                ],
                "short_form": "FBbt_00007147",
                "label": "adult tritocerebrum"
            }
        },
        {
            "relation": {
                "iri": "http://purl.obolibrary.org/obo/BFO_0000050",
                "label": "is part of",
                "type": "part_of"
            },
            "object": {
                "symbol": "",
                "iri": "http://purl.obolibrary.org/obo/FBbt_00045047",
                "types": [
                    "Entity",
                    "Adult",
                    "Anatomy",
                    "Class",
                    "Nervous_system",
                    "Synaptic_neuropil",
                    "Synaptic_neuropil_block"
                ],
                "short_form": "FBbt_00045047",
                "label": "periesophageal neuropils"
            }
        },
        {
            "relation": {
                "iri": "http://purl.obolibrary.org/obo/BFO_0000050",
                "label": "is part of",
                "type": "part_of"
            },
            "object": {
                "symbol": "",
                "iri": "http://purl.obolibrary.org/obo/FBbt_00110639",
                "types": [
                    "Entity",
                    "Adult",
                    "Anatomy",
                    "Class",
                    "Nervous_system"
                ],
                "short_form": "FBbt_00110639",
                "label": "adult subesophageal zone"
            }
        }
    ],
    "xrefs": [
        {
            "link_base": "https://insectbraindb.org/app/structures/",
            "site": {
                "symbol": "",
                "iri": "http://virtualflybrain.org/reports/InsectBrainDB",
                "types": [
                    "Entity",
                    "Individual",
                    "Site"
                ],
                "short_form": "InsectBrainDB",
                "label": "Insect Brain DB"
            },
            "is_data_source": false,
            "link_postfix": "",
            "icon": "https://insectbraindb.org/app/assets/images/Megalopta_frontal.png",
            "accession": "101",
            "link_text": "prow on Insect Brain DB",
            "homepage": "https://insectbraindb.org/"
        }
    ],
    "anatomy_channel_image": [
        {
            "anatomy": {
                "symbol": "",
                "iri": "http://virtualflybrain.org/reports/VFB_00030834",
                "types": [
                    "Entity",
                    "Adult",
                    "Anatomy",
                    "Individual",
                    "Nervous_system",
                    "Synaptic_neuropil",
                    "Synaptic_neuropil_domain",
                    "VFB",
                    "has_image"
                ],
                "short_form": "VFB_00030834",
                "label": "prow on adult brain template Ito2014"
            },
            "channel_image": {
                "image": {
                    "template_channel": {
                        "symbol": "",
                        "iri": "http://virtualflybrain.org/reports/VFBc_00030786",
                        "types": [
                            "Entity",
                            "Individual",
                            "Template",
                            "VFB"
                        ],
                        "short_form": "VFBc_00030786",
                        "label": "BrainName standard - Ito half brain c"
                    },
                    "index": [
                        49
                    ],
                    "template_anatomy": {
                        "symbol": "",
                        "iri": "http://virtualflybrain.org/reports/VFB_00030786",
                        "types": [
                            "Entity",
                            "Adult",
                            "Anatomy",
                            "Individual",
                            "Nervous_system",
                            "Template",
                            "VFB",
                            "has_image"
                        ],
                        "short_form": "VFB_00030786",
                        "label": "adult brain template Ito2014"
                    },
                    "image_folder": "http://www.virtualflybrain.org/data/VFB/i/0003/0834/"
                },
                "channel": {
                    "symbol": "",
                    "iri": "http://virtualflybrain.org/reports/VFBc_00030834",
                    "types": [
                        "Entity",
                        "Individual",
                        "VFB"
                    ],
                    "short_form": "VFBc_00030834",
                    "label": "PRW - painted domain, BrainName pub_c"
                },
                "imaging_technique": {
                    "symbol": "",
                    "iri": "http://purl.obolibrary.org/obo/FBbi_00000224",
                    "types": [
                        "Entity",
                        "Class"
                    ],
                    "short_form": "FBbi_00000224",
                    "label": "computer graphic"
                }
            }
        },
        {
            "anatomy": {
                "symbol": "",
                "iri": "http://virtualflybrain.org/reports/VFB_00102276",
                "types": [
                    "Entity",
                    "Adult",
                    "Anatomy",
                    "Individual",
                    "Nervous_system",
                    "Synaptic_neuropil",
                    "Synaptic_neuropil_domain",
                    "has_image"
                ],
                "short_form": "VFB_00102276",
                "label": "PRW on JRC2018Unisex adult brain"
            },
            "channel_image": {
                "image": {
                    "template_channel": {
                        "symbol": "",
                        "iri": "http://virtualflybrain.org/reports/VFBc_00101567",
                        "types": [
                            "Entity",
                            "Individual",
                            "Template"
                        ],
                        "short_form": "VFBc_00101567",
                        "label": "JRC2018Unisex_c"
                    },
                    "index": [
                        49
                    ],
                    "template_anatomy": {
                        "symbol": "",
                        "iri": "http://virtualflybrain.org/reports/VFB_00101567",
                        "types": [
                            "Entity",
                            "Adult",
                            "Anatomy",
                            "Individual",
                            "Nervous_system",
                            "Template",
                            "has_image"
                        ],
                        "short_form": "VFB_00101567",
                        "label": "JRC2018Unisex"
                    },
                    "image_folder": "http://www.virtualflybrain.org/data/VFB/i/0010/2276/VFB_00101567/"
                },
                "channel": {
                    "symbol": "",
                    "iri": "http://virtualflybrain.org/reports/VFBc_00102276",
                    "types": [
                        "Entity",
                        "Individual"
                    ],
                    "short_form": "VFBc_00102276",
                    "label": "PRW on JRC2018Unisex adult brain_c"
                },
                "imaging_technique": {
                    "symbol": "",
                    "iri": "http://purl.obolibrary.org/obo/FBbi_00000224",
                    "types": [
                        "Entity",
                        "Class"
                    ],
                    "short_form": "FBbi_00000224",
                    "label": "computer graphic"
                }
            }
        },
        {
            "anatomy": {
                "symbol": "",
                "iri": "http://virtualflybrain.org/reports/VFB_00030604",
                "types": [
                    "Entity",
                    "Adult",
                    "Anatomy",
                    "Individual",
                    "Nervous_system",
                    "Synaptic_neuropil",
                    "Synaptic_neuropil_domain",
                    "VFB",
                    "has_image"
                ],
                "short_form": "VFB_00030604",
                "label": "prow on adult brain template JFRC2"
            },
            "channel_image": {
                "image": {
                    "template_channel": {
                        "symbol": "",
                        "iri": "http://virtualflybrain.org/reports/VFBc_00017894",
                        "types": [
                            "Entity",
                            "Individual",
                            "Template",
                            "VFB"
                        ],
                        "short_form": "VFBc_00017894",
                        "label": "JFRC2_template_c"
                    },
                    "index": [
                        50
                    ],
                    "template_anatomy": {
                        "symbol": "",
                        "iri": "http://virtualflybrain.org/reports/VFB_00017894",
                        "types": [
                            "Entity",
                            "Adult",
                            "Anatomy",
                            "Individual",
                            "Nervous_system",
                            "Template",
                            "VFB",
                            "has_image"
                        ],
                        "short_form": "VFB_00017894",
                        "label": "adult brain template JFRC2"
                    },
                    "image_folder": "http://www.virtualflybrain.org/data/VFB/i/0003/0604/"
                },
                "channel": {
                    "symbol": "",
                    "iri": "http://virtualflybrain.org/reports/VFBc_00030604",
                    "types": [
                        "Entity",
                        "Individual",
                        "VFB"
                    ],
                    "short_form": "VFBc_00030604",
                    "label": "PRW_JFRC_c"
                },
                "imaging_technique": {
                    "symbol": "",
                    "iri": "http://purl.obolibrary.org/obo/FBbi_00000224",
                    "types": [
                        "Entity",
                        "Class"
                    ],
                    "short_form": "FBbi_00000224",
                    "label": "computer graphic"
                }
            }
        },
        {
            "anatomy": {
                "symbol": "",
                "iri": "http://virtualflybrain.org/reports/VFB_00101460",
                "types": [
                    "Entity",
                    "Adult",
                    "Anatomy",
                    "Individual",
                    "Nervous_system",
                    "Synaptic_neuropil",
                    "Synaptic_neuropil_domain",
                    "has_image"
                ],
                "short_form": "VFB_00101460",
                "label": "PRW on JRC_FlyEM_Hemibrain"
            },
            "channel_image": {
                "image": {
                    "template_channel": {
                        "symbol": "",
                        "iri": "http://virtualflybrain.org/reports/VFBc_00101384",
                        "types": [
                            "Entity",
                            "Individual",
                            "Template"
                        ],
                        "short_form": "VFBc_00101384",
                        "label": "JRC_FlyEM_Hemibrain_c"
                    },
                    "index": [
                        49
                    ],
                    "template_anatomy": {
                        "symbol": "",
                        "iri": "http://virtualflybrain.org/reports/VFB_00101384",
                        "types": [
                            "Entity",
                            "Adult",
                            "Anatomy",
                            "Individual",
                            "Nervous_system",
                            "Template",
                            "has_image"
                        ],
                        "short_form": "VFB_00101384",
                        "label": "JRC_FlyEM_Hemibrain"
                    },
                    "image_folder": "http://www.virtualflybrain.org/data/VFB/i/0010/1460/VFB_00101384/"
                },
                "channel": {
                    "symbol": "",
                    "iri": "http://virtualflybrain.org/reports/VFBc_00101460",
                    "types": [
                        "Entity",
                        "Individual"
                    ],
                    "short_form": "VFBc_00101460",
                    "label": "PRWon JRC_FlyEM_Hemibrain_c"
                },
                "imaging_technique": {
                    "symbol": "",
                    "iri": "http://purl.obolibrary.org/obo/FBbi_00000224",
                    "types": [
                        "Entity",
                        "Class"
                    ],
                    "short_form": "FBbi_00000224",
                    "label": "computer graphic"
                }
            }
        }
    ],
    "pub_syn": [
        {
            "synonym": {
                "scope": "has_narrow_synonym",
                "label": "anterior periesophageal neuropils",
                "type": ""
            },
            "pub": {
                "core": {
                    "symbol": "",
                    "iri": "http://flybase.org/reports/FBrf0224194",
                    "types": [
                        "Entity",
                        "Individual",
                        "pub"
                    ],
                    "short_form": "FBrf0224194",
                    "label": "Ito et al., 2014, Neuron 81(4): 755--765"
                },
                "FlyBase": "FBrf0224194",
                "PubMed": "24559671",
                "DOI": "10.1016/j.neuron.2013.12.017"
            }
        },
        {
            "synonym": {
                "scope": "has_exact_synonym",
                "label": "PRW",
                "type": ""
            },
            "pub": {
                "core": {
                    "symbol": "",
                    "iri": "http://flybase.org/reports/FBrf0224194",
                    "types": [
                        "Entity",
                        "Individual",
                        "pub"
                    ],
                    "short_form": "FBrf0224194",
                    "label": "Ito et al., 2014, Neuron 81(4): 755--765"
                },
                "FlyBase": "FBrf0224194",
                "PubMed": "24559671",
                "DOI": "10.1016/j.neuron.2013.12.017"
            }
        },
        {
            "synonym": {
                "scope": "has_exact_synonym",
                "label": "TRv",
                "type": ""
            },
            "pub": {
                "core": {
                    "symbol": "",
                    "iri": "http://flybase.org/reports/FBrf0237252",
                    "types": [
                        "Entity",
                        "Individual",
                        "pub"
                    ],
                    "short_form": "FBrf0237252",
                    "label": "Hartenstein et al., 2018, J. Comp. Neurol. 526(1): 6--32"
                },
                "FlyBase": "",
                "PubMed": "28730682",
                "DOI": "10.1002/cne.24287"
            }
        },
        {
            "synonym": {
                "scope": "has_exact_synonym",
                "label": "ventral tritocerebrum",
                "type": ""
            },
            "pub": {
                "core": {
                    "symbol": "",
                    "iri": "http://flybase.org/reports/FBrf0237252",
                    "types": [
                        "Entity",
                        "Individual",
                        "pub"
                    ],
                    "short_form": "FBrf0237252",
                    "label": "Hartenstein et al., 2018, J. Comp. Neurol. 526(1): 6--32"
                },
                "FlyBase": "",
                "PubMed": "28730682",
                "DOI": "10.1002/cne.24287"
            }
        },
        {
            "synonym": {
                "scope": "has_narrow_synonym",
                "label": "PENPa",
                "type": "http://purl.obolibrary.org/obo/fbbt#BRAIN_NAME_ABV"
            },
            "pub": {
                "core": {
                    "symbol": "",
                    "iri": "http://flybase.org/reports/FBrf0224194",
                    "types": [
                        "Entity",
                        "Individual",
                        "pub"
                    ],
                    "short_form": "FBrf0224194",
                    "label": "Ito et al., 2014, Neuron 81(4): 755--765"
                },
                "FlyBase": "FBrf0224194",
                "PubMed": "24559671",
                "DOI": "10.1016/j.neuron.2013.12.017"
            }
        },
        {
            "synonym": {
                "scope": "has_narrow_synonym",
                "label": "SOG",
                "type": ""
            },
            "pub": {
                "core": {
                    "symbol": "",
                    "iri": "http://flybase.org/reports/FBrf0212704",
                    "types": [
                        "Entity",
                        "Individual",
                        "pub"
                    ],
                    "short_form": "FBrf0212704",
                    "label": "Chiang et al., 2011, Curr. Biol. 21(1): 1--11"
                },
                "FlyBase": "FBrf0212704",
                "PubMed": "21129968",
                "DOI": "10.1016/j.cub.2010.11.056"
            }
        }
    ],
    "def_pubs": [
        {
            "core": {
                "symbol": "",
                "iri": "http://flybase.org/reports/FBrf0237252",
                "types": [
                    "Entity",
                    "Individual",
                    "pub"
                ],
                "short_form": "FBrf0237252",
                "label": "Hartenstein et al., 2018, J. Comp. Neurol. 526(1): 6--32"
            },
            "FlyBase": "",
            "PubMed": "28730682",
            "DOI": "10.1002/cne.24287"
        }
    ]
}