adult great commissure [FBbt_00007080]

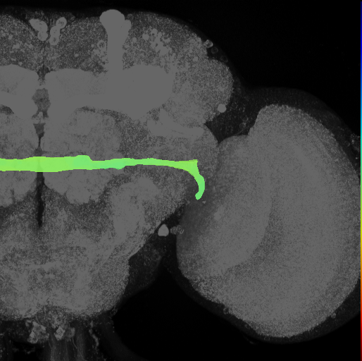
Commissure of the adult brain located ventral to the fan-shaped body and posterior to the noduli (Ito et al., 2014). It connects the left and right ventrolateral protocerebra, and its main component connects the lobula of both optic lobes (Ito et al., 2014). The commissure also contains many other fibers that connect different neuropils (Ito et al., 2014). It demarcates the boundaries of the posterior ventrolateral protocerebrum (posterior region), posterior lateral protocerebrum (anterior region), noduli (posterior region), inferior bridge (anterior region), superior posterior slope (anterior region), vest (posterior-superior region), epaulette (posterior region) and gorget (inferior region) (Ito et al., 2014). From Strausfeld (FlyBase:FBrf0239233, FlyBase:FBrf0239234) pg 93 in Musca Domestica. Confirmed as present in Drosophila melanogaster by VH & WP.

Open adult great commissure in VFB

Example Images

adult great commissure adult great commissure

VFB Term Json

{
    "term": {
        "core": {
            "iri": "http://purl.obolibrary.org/obo/FBbt_00007080",
            "symbol": "",
            "types": [
                "Entity",
                "Adult",
                "Anatomy",
                "Class",
                "Nervous_system",
                "Neuron_projection_bundle"
            ],
            "short_form": "FBbt_00007080",
            "label": "adult great commissure"
        },
        "description": [
            "Commissure of the adult brain located ventral to the fan-shaped body and posterior to the noduli (Ito et al., 2014). It connects the left and right ventrolateral protocerebra, and its main component connects the lobula of both optic lobes (Ito et al., 2014). The commissure also contains many other fibers that connect different neuropils (Ito et al., 2014). It demarcates the boundaries of the posterior ventrolateral protocerebrum (posterior region), posterior lateral protocerebrum (anterior region), noduli (posterior region), inferior bridge (anterior region), superior posterior slope (anterior region), vest (posterior-superior region), epaulette (posterior region) and gorget (inferior region) (Ito et al., 2014)."
        ],
        "comment": [
            "From Strausfeld (FlyBase:FBrf0239233, FlyBase:FBrf0239234) pg 93 in Musca Domestica. Confirmed as present in Drosophila melanogaster by VH & WP."
        ]
    },
    "query": "Get JSON for Class",
    "version": "44725ae",
    "parents": [
        {
            "symbol": "",
            "iri": "http://purl.obolibrary.org/obo/FBbt_00047941",
            "types": [
                "Entity",
                "Anatomy",
                "Class",
                "Nervous_system",
                "Neuron_projection_bundle"
            ],
            "short_form": "FBbt_00047941",
            "label": "great commissure"
        }
    ],
    "relationships": [
        {
            "relation": {
                "iri": "http://purl.obolibrary.org/obo/BFO_0000050",
                "label": "is part of",
                "type": "part_of"
            },
            "object": {
                "symbol": "",
                "iri": "http://purl.obolibrary.org/obo/FBbt_00003559",
                "types": [
                    "Entity",
                    "Adult",
                    "Anatomy",
                    "Class"
                ],
                "short_form": "FBbt_00003559",
                "label": "adult nervous system"
            }
        },
        {
            "relation": {
                "iri": "http://purl.obolibrary.org/obo/BFO_0000050",
                "label": "is part of",
                "type": "part_of"
            },
            "object": {
                "symbol": "",
                "iri": "http://purl.obolibrary.org/obo/FBbt_00007145",
                "types": [
                    "Entity",
                    "Adult",
                    "Anatomy",
                    "Class",
                    "Nervous_system",
                    "Neuromere"
                ],
                "short_form": "FBbt_00007145",
                "label": "adult protocerebrum"
            }
        },
        {
            "relation": {
                "iri": "http://purl.obolibrary.org/obo/RO_0002134",
                "label": "innervates",
                "type": "innervates"
            },
            "object": {
                "symbol": "",
                "iri": "http://purl.obolibrary.org/obo/FBbt_00007058",
                "types": [
                    "Entity",
                    "Adult",
                    "Anatomy",
                    "Class",
                    "Nervous_system",
                    "Synaptic_neuropil",
                    "Synaptic_neuropil_block"
                ],
                "short_form": "FBbt_00007058",
                "label": "ventrolateral protocerebrum"
            }
        },
        {
            "relation": {
                "iri": "http://purl.obolibrary.org/obo/RO_0002134",
                "label": "innervates",
                "type": "innervates"
            },
            "object": {
                "symbol": "",
                "iri": "http://purl.obolibrary.org/obo/FBbt_00003701",
                "types": [
                    "Entity",
                    "Adult",
                    "Anatomy",
                    "Class",
                    "Nervous_system"
                ],
                "short_form": "FBbt_00003701",
                "label": "adult optic lobe"
            }
        }
    ],
    "xrefs": [],
    "anatomy_channel_image": [
        {
            "anatomy": {
                "symbol": "",
                "iri": "http://virtualflybrain.org/reports/VFB_00101478",
                "types": [
                    "Entity",
                    "Adult",
                    "Anatomy",
                    "Individual",
                    "Nervous_system",
                    "Neuron_projection_bundle",
                    "has_image"
                ],
                "short_form": "VFB_00101478",
                "label": "GC on JRC_FlyEM_Hemibrain"
            },
            "channel_image": {
                "image": {
                    "template_channel": {
                        "symbol": "",
                        "iri": "http://virtualflybrain.org/reports/VFBc_00101384",
                        "types": [
                            "Entity",
                            "Individual",
                            "Template"
                        ],
                        "short_form": "VFBc_00101384",
                        "label": "JRC_FlyEM_Hemibrain_c"
                    },
                    "index": [
                        52
                    ],
                    "template_anatomy": {
                        "symbol": "",
                        "iri": "http://virtualflybrain.org/reports/VFB_00101384",
                        "types": [
                            "Entity",
                            "Adult",
                            "Anatomy",
                            "Individual",
                            "Nervous_system",
                            "Template",
                            "has_image"
                        ],
                        "short_form": "VFB_00101384",
                        "label": "JRC_FlyEM_Hemibrain"
                    },
                    "image_folder": "http://www.virtualflybrain.org/data/VFB/i/0010/1478/VFB_00101384/"
                },
                "channel": {
                    "symbol": "",
                    "iri": "http://virtualflybrain.org/reports/VFBc_00101478",
                    "types": [
                        "Entity",
                        "Individual"
                    ],
                    "short_form": "VFBc_00101478",
                    "label": "GCon JRC_FlyEM_Hemibrain_c"
                },
                "imaging_technique": {
                    "symbol": "",
                    "iri": "http://purl.obolibrary.org/obo/FBbi_00000224",
                    "types": [
                        "Entity",
                        "Class"
                    ],
                    "short_form": "FBbi_00000224",
                    "label": "computer graphic"
                }
            }
        },
        {
            "anatomy": {
                "symbol": "",
                "iri": "http://virtualflybrain.org/reports/VFB_00030829",
                "types": [
                    "Entity",
                    "Adult",
                    "Anatomy",
                    "Individual",
                    "Nervous_system",
                    "Neuron_projection_bundle",
                    "VFB",
                    "has_image"
                ],
                "short_form": "VFB_00030829",
                "label": "great commissure on adult brain template Ito2014"
            },
            "channel_image": {
                "image": {
                    "template_channel": {
                        "symbol": "",
                        "iri": "http://virtualflybrain.org/reports/VFBc_00030786",
                        "types": [
                            "Entity",
                            "Individual",
                            "Template",
                            "VFB"
                        ],
                        "short_form": "VFBc_00030786",
                        "label": "BrainName standard - Ito half brain c"
                    },
                    "index": [
                        43
                    ],
                    "template_anatomy": {
                        "symbol": "",
                        "iri": "http://virtualflybrain.org/reports/VFB_00030786",
                        "types": [
                            "Entity",
                            "Adult",
                            "Anatomy",
                            "Individual",
                            "Nervous_system",
                            "Template",
                            "VFB",
                            "has_image"
                        ],
                        "short_form": "VFB_00030786",
                        "label": "adult brain template Ito2014"
                    },
                    "image_folder": "http://www.virtualflybrain.org/data/VFB/i/0003/0829/"
                },
                "channel": {
                    "symbol": "",
                    "iri": "http://virtualflybrain.org/reports/VFBc_00030829",
                    "types": [
                        "Entity",
                        "Individual",
                        "VFB"
                    ],
                    "short_form": "VFBc_00030829",
                    "label": "GC - painted domain, BrainName pub_c"
                },
                "imaging_technique": {
                    "symbol": "",
                    "iri": "http://purl.obolibrary.org/obo/FBbi_00000224",
                    "types": [
                        "Entity",
                        "Class"
                    ],
                    "short_form": "FBbi_00000224",
                    "label": "computer graphic"
                }
            }
        }
    ],
    "pub_syn": [
        {
            "synonym": {
                "scope": "has_exact_synonym",
                "label": "commissure of optic foci",
                "type": ""
            },
            "pub": {
                "core": {
                    "symbol": "",
                    "iri": "http://flybase.org/reports/Unattributed",
                    "types": [
                        "Entity",
                        "Individual",
                        "pub"
                    ],
                    "short_form": "Unattributed",
                    "label": ""
                },
                "FlyBase": "",
                "PubMed": "",
                "DOI": ""
            }
        },
        {
            "synonym": {
                "scope": "has_exact_synonym",
                "label": "VPC2",
                "type": ""
            },
            "pub": {
                "core": {
                    "symbol": "",
                    "iri": "http://flybase.org/reports/Unattributed",
                    "types": [
                        "Entity",
                        "Individual",
                        "pub"
                    ],
                    "short_form": "Unattributed",
                    "label": ""
                },
                "FlyBase": "",
                "PubMed": "",
                "DOI": ""
            }
        },
        {
            "synonym": {
                "scope": "has_exact_synonym",
                "label": "c op fo",
                "type": ""
            },
            "pub": {
                "core": {
                    "symbol": "",
                    "iri": "http://flybase.org/reports/Unattributed",
                    "types": [
                        "Entity",
                        "Individual",
                        "pub"
                    ],
                    "short_form": "Unattributed",
                    "label": ""
                },
                "FlyBase": "",
                "PubMed": "",
                "DOI": ""
            }
        },
        {
            "synonym": {
                "scope": "has_narrow_synonym",
                "label": "great commissure",
                "type": ""
            },
            "pub": {
                "core": {
                    "symbol": "",
                    "iri": "http://flybase.org/reports/Unattributed",
                    "types": [
                        "Entity",
                        "Individual",
                        "pub"
                    ],
                    "short_form": "Unattributed",
                    "label": ""
                },
                "FlyBase": "",
                "PubMed": "",
                "DOI": ""
            }
        },
        {
            "synonym": {
                "scope": "has_narrow_synonym",
                "label": "GC",
                "type": "http://purl.obolibrary.org/obo/fbbt#BRAIN_NAME_ABV"
            },
            "pub": {
                "core": {
                    "symbol": "",
                    "iri": "http://flybase.org/reports/FBrf0224194",
                    "types": [
                        "Entity",
                        "Individual",
                        "pub"
                    ],
                    "short_form": "FBrf0224194",
                    "label": "Ito et al., 2014, Neuron 81(4): 755--765"
                },
                "FlyBase": "FBrf0224194",
                "PubMed": "24559671",
                "DOI": "10.1016/j.neuron.2013.12.017"
            }
        }
    ],
    "def_pubs": [
        {
            "core": {
                "symbol": "",
                "iri": "http://flybase.org/reports/FBrf0239234",
                "types": [
                    "Entity",
                    "Individual",
                    "pub"
                ],
                "short_form": "FBrf0239234",
                "label": "Strausfield, 1976, Strausfield, 1976: 117--186"
            },
            "FlyBase": "",
            "PubMed": "",
            "DOI": ""
        },
        {
            "core": {
                "symbol": "",
                "iri": "http://flybase.org/reports/FBrf0239233",
                "types": [
                    "Entity",
                    "Individual",
                    "pub"
                ],
                "short_form": "FBrf0239233",
                "label": "Strausfield, 1976, Strausfield, 1976: 57--116"
            },
            "FlyBase": "",
            "PubMed": "",
            "DOI": ""
        }
    ]
}