adult antennal lobe commissure [FBbt_00003979]

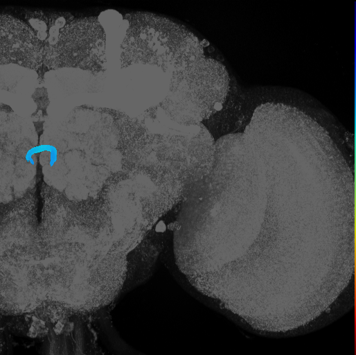
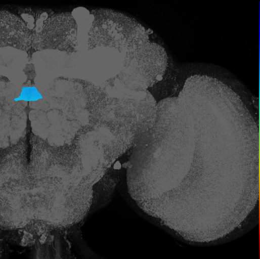
Commissure that connects the two antennal lobes at their postero-dorsal corners (Stocker et al., 1990). There are two of these, separated by the lateral accessory lobe commissure, and they extend in front of the ellipsoid body (Ito et al., 2014).

Open adult antennal lobe commissure in VFB

Example Images

adult antennal lobe commissure adult antennal lobe commissure

VFB Term Json

{
    "term": {
        "core": {
            "iri": "http://purl.obolibrary.org/obo/FBbt_00003979",
            "symbol": "",
            "types": [
                "Entity",
                "Adult",
                "Anatomy",
                "Class",
                "Nervous_system",
                "Neuron_projection_bundle"
            ],
            "short_form": "FBbt_00003979",
            "label": "adult antennal lobe commissure"
        },
        "description": [
            "Commissure that connects the two antennal lobes at their postero-dorsal corners (Stocker et al., 1990). There are two of these, separated by the lateral accessory lobe commissure, and they extend in front of the ellipsoid body (Ito et al., 2014)."
        ],
        "comment": []
    },
    "query": "Get JSON for Class",
    "version": "44725ae",
    "parents": [
        {
            "symbol": "",
            "iri": "http://purl.obolibrary.org/obo/FBbt_00047939",
            "types": [
                "Entity",
                "Anatomy",
                "Class",
                "Nervous_system",
                "Neuron_projection_bundle"
            ],
            "short_form": "FBbt_00047939",
            "label": "antennal lobe commissure"
        }
    ],
    "relationships": [
        {
            "relation": {
                "iri": "http://purl.obolibrary.org/obo/RO_0002134",
                "label": "innervates",
                "type": "innervates"
            },
            "object": {
                "symbol": "",
                "iri": "http://purl.obolibrary.org/obo/FBbt_00007401",
                "types": [
                    "Entity",
                    "Adult",
                    "Anatomy",
                    "Class",
                    "Nervous_system",
                    "Synaptic_neuropil",
                    "Synaptic_neuropil_domain"
                ],
                "short_form": "FBbt_00007401",
                "label": "adult antennal lobe"
            }
        },
        {
            "relation": {
                "iri": "http://purl.obolibrary.org/obo/BFO_0000050",
                "label": "is part of",
                "type": "part_of"
            },
            "object": {
                "symbol": "",
                "iri": "http://purl.obolibrary.org/obo/FBbt_00003559",
                "types": [
                    "Entity",
                    "Adult",
                    "Anatomy",
                    "Class"
                ],
                "short_form": "FBbt_00003559",
                "label": "adult nervous system"
            }
        },
        {
            "relation": {
                "iri": "http://purl.obolibrary.org/obo/BFO_0000050",
                "label": "is part of",
                "type": "part_of"
            },
            "object": {
                "symbol": "",
                "iri": "http://purl.obolibrary.org/obo/FBbt_00007146",
                "types": [
                    "Entity",
                    "Adult",
                    "Anatomy",
                    "Class",
                    "Nervous_system",
                    "Neuromere"
                ],
                "short_form": "FBbt_00007146",
                "label": "adult deutocerebrum"
            }
        }
    ],
    "xrefs": [],
    "anatomy_channel_image": [
        {
            "anatomy": {
                "symbol": "",
                "iri": "http://virtualflybrain.org/reports/VFB_00030843",
                "types": [
                    "Entity",
                    "Adult",
                    "Anatomy",
                    "Individual",
                    "Nervous_system",
                    "Neuron_projection_bundle",
                    "VFB",
                    "has_image"
                ],
                "short_form": "VFB_00030843",
                "label": "inferior antennal lobe commissure on adult brain template Ito2014"
            },
            "channel_image": {
                "image": {
                    "template_channel": {
                        "symbol": "",
                        "iri": "http://virtualflybrain.org/reports/VFBc_00030786",
                        "types": [
                            "Entity",
                            "Individual",
                            "Template",
                            "VFB"
                        ],
                        "short_form": "VFBc_00030786",
                        "label": "BrainName standard - Ito half brain c"
                    },
                    "index": [
                        322
                    ],
                    "template_anatomy": {
                        "symbol": "",
                        "iri": "http://virtualflybrain.org/reports/VFB_00030786",
                        "types": [
                            "Entity",
                            "Adult",
                            "Anatomy",
                            "Individual",
                            "Nervous_system",
                            "Template",
                            "VFB",
                            "has_image"
                        ],
                        "short_form": "VFB_00030786",
                        "label": "adult brain template Ito2014"
                    },
                    "image_folder": "http://www.virtualflybrain.org/data/VFB/i/0003/0843/"
                },
                "channel": {
                    "symbol": "",
                    "iri": "http://virtualflybrain.org/reports/VFBc_00030843",
                    "types": [
                        "Entity",
                        "Individual",
                        "VFB"
                    ],
                    "short_form": "VFBc_00030843",
                    "label": "iALC - painted domain, BrainName pub_c"
                },
                "imaging_technique": {
                    "symbol": "",
                    "iri": "http://purl.obolibrary.org/obo/FBbi_00000224",
                    "types": [
                        "Entity",
                        "Class"
                    ],
                    "short_form": "FBbi_00000224",
                    "label": "computer graphic"
                }
            }
        },
        {
            "anatomy": {
                "symbol": "",
                "iri": "http://virtualflybrain.org/reports/VFB_00030860",
                "types": [
                    "Entity",
                    "Adult",
                    "Anatomy",
                    "Individual",
                    "Nervous_system",
                    "Neuron_projection_bundle",
                    "VFB",
                    "has_image"
                ],
                "short_form": "VFB_00030860",
                "label": "superior antennal lobe commissure on adult brain template Ito2014"
            },
            "channel_image": {
                "image": {
                    "template_channel": {
                        "symbol": "",
                        "iri": "http://virtualflybrain.org/reports/VFBc_00030786",
                        "types": [
                            "Entity",
                            "Individual",
                            "Template",
                            "VFB"
                        ],
                        "short_form": "VFBc_00030786",
                        "label": "BrainName standard - Ito half brain c"
                    },
                    "index": [
                        345
                    ],
                    "template_anatomy": {
                        "symbol": "",
                        "iri": "http://virtualflybrain.org/reports/VFB_00030786",
                        "types": [
                            "Entity",
                            "Adult",
                            "Anatomy",
                            "Individual",
                            "Nervous_system",
                            "Template",
                            "VFB",
                            "has_image"
                        ],
                        "short_form": "VFB_00030786",
                        "label": "adult brain template Ito2014"
                    },
                    "image_folder": "http://www.virtualflybrain.org/data/VFB/i/0003/0860/"
                },
                "channel": {
                    "symbol": "",
                    "iri": "http://virtualflybrain.org/reports/VFBc_00030860",
                    "types": [
                        "Entity",
                        "Individual",
                        "VFB"
                    ],
                    "short_form": "VFBc_00030860",
                    "label": "sALC - painted domain, BrainName pub_c"
                },
                "imaging_technique": {
                    "symbol": "",
                    "iri": "http://purl.obolibrary.org/obo/FBbi_00000224",
                    "types": [
                        "Entity",
                        "Class"
                    ],
                    "short_form": "FBbi_00000224",
                    "label": "computer graphic"
                }
            }
        }
    ],
    "pub_syn": [
        {
            "synonym": {
                "scope": "has_narrow_synonym",
                "label": "antennal lobe commissure",
                "type": ""
            },
            "pub": {
                "core": {
                    "symbol": "",
                    "iri": "http://flybase.org/reports/Unattributed",
                    "types": [
                        "Entity",
                        "Individual",
                        "pub"
                    ],
                    "short_form": "Unattributed",
                    "label": ""
                },
                "FlyBase": "",
                "PubMed": "",
                "DOI": ""
            }
        },
        {
            "synonym": {
                "scope": "has_narrow_synonym",
                "label": "VAC2",
                "type": ""
            },
            "pub": {
                "core": {
                    "symbol": "",
                    "iri": "http://flybase.org/reports/Unattributed",
                    "types": [
                        "Entity",
                        "Individual",
                        "pub"
                    ],
                    "short_form": "Unattributed",
                    "label": ""
                },
                "FlyBase": "",
                "PubMed": "",
                "DOI": ""
            }
        },
        {
            "synonym": {
                "scope": "has_narrow_synonym",
                "label": "in an con",
                "type": ""
            },
            "pub": {
                "core": {
                    "symbol": "",
                    "iri": "http://flybase.org/reports/Unattributed",
                    "types": [
                        "Entity",
                        "Individual",
                        "pub"
                    ],
                    "short_form": "Unattributed",
                    "label": ""
                },
                "FlyBase": "",
                "PubMed": "",
                "DOI": ""
            }
        },
        {
            "synonym": {
                "scope": "has_narrow_synonym",
                "label": "antennal commissure",
                "type": ""
            },
            "pub": {
                "core": {
                    "symbol": "",
                    "iri": "http://flybase.org/reports/Unattributed",
                    "types": [
                        "Entity",
                        "Individual",
                        "pub"
                    ],
                    "short_form": "Unattributed",
                    "label": ""
                },
                "FlyBase": "",
                "PubMed": "",
                "DOI": ""
            }
        },
        {
            "synonym": {
                "scope": "has_exact_synonym",
                "label": "adult inter antennal lobe tract",
                "type": ""
            },
            "pub": {
                "core": {
                    "symbol": "",
                    "iri": "http://flybase.org/reports/FBrf0224194",
                    "types": [
                        "Entity",
                        "Individual",
                        "pub"
                    ],
                    "short_form": "FBrf0224194",
                    "label": "Ito et al., 2014, Neuron 81(4): 755--765"
                },
                "FlyBase": "FBrf0224194",
                "PubMed": "24559671",
                "DOI": "10.1016/j.neuron.2013.12.017"
            }
        },
        {
            "synonym": {
                "scope": "has_exact_synonym",
                "label": "adult AL commissure",
                "type": ""
            },
            "pub": {
                "core": {
                    "symbol": "",
                    "iri": "http://flybase.org/reports/FBrf0219809",
                    "types": [
                        "Entity",
                        "Individual",
                        "pub"
                    ],
                    "short_form": "FBrf0219809",
                    "label": "Tanaka et al., 2012, J. Comp. Neurol. 520(18): 4067--4130"
                },
                "FlyBase": "",
                "PubMed": "22592945",
                "DOI": "10.1002/cne.23142"
            }
        },
        {
            "synonym": {
                "scope": "has_exact_synonym",
                "label": "adult ALC",
                "type": ""
            },
            "pub": {
                "core": {
                    "symbol": "",
                    "iri": "http://flybase.org/reports/FBrf0223329",
                    "types": [
                        "Entity",
                        "Individual",
                        "pub"
                    ],
                    "short_form": "FBrf0223329",
                    "label": "Lovick et al., 2013, Dev. Biol. 384(2): 228--257"
                },
                "FlyBase": "",
                "PubMed": "23880429",
                "DOI": "10.1016/j.ydbio.2013.07.008"
            }
        },
        {
            "synonym": {
                "scope": "has_narrow_synonym",
                "label": "inter antennal connective",
                "type": ""
            },
            "pub": {
                "core": {
                    "symbol": "",
                    "iri": "http://flybase.org/reports/Unattributed",
                    "types": [
                        "Entity",
                        "Individual",
                        "pub"
                    ],
                    "short_form": "Unattributed",
                    "label": ""
                },
                "FlyBase": "",
                "PubMed": "",
                "DOI": ""
            }
        }
    ],
    "def_pubs": [
        {
            "core": {
                "symbol": "",
                "iri": "http://flybase.org/reports/FBrf0224194",
                "types": [
                    "Entity",
                    "Individual",
                    "pub"
                ],
                "short_form": "FBrf0224194",
                "label": "Ito et al., 2014, Neuron 81(4): 755--765"
            },
            "FlyBase": "FBrf0224194",
            "PubMed": "24559671",
            "DOI": "10.1016/j.neuron.2013.12.017"
        },
        {
            "core": {
                "symbol": "",
                "iri": "http://flybase.org/reports/FBrf0239234",
                "types": [
                    "Entity",
                    "Individual",
                    "pub"
                ],
                "short_form": "FBrf0239234",
                "label": "Strausfield, 1976, Strausfield, 1976: 117--186"
            },
            "FlyBase": "",
            "PubMed": "",
            "DOI": ""
        },
        {
            "core": {
                "symbol": "",
                "iri": "http://flybase.org/reports/FBrf0051437",
                "types": [
                    "Entity",
                    "Individual",
                    "pub"
                ],
                "short_form": "FBrf0051437",
                "label": "Stocker et al., 1990, Cell Tissue Res. 262(1): 9--34"
            },
            "FlyBase": "",
            "PubMed": "2124174",
            "DOI": "10.1007/BF00327741"
        },
        {
            "core": {
                "symbol": "",
                "iri": "http://flybase.org/reports/FBrf0239233",
                "types": [
                    "Entity",
                    "Individual",
                    "pub"
                ],
                "short_form": "FBrf0239233",
                "label": "Strausfield, 1976, Strausfield, 1976: 57--116"
            },
            "FlyBase": "",
            "PubMed": "",
            "DOI": ""
        }
    ]
}